УЗИ, образование в печени
- KsV
- Администратор
- Сообщения: 2191
- Зарегистрирован: 22 фев 2009, 13:38
- Откуда: Беларусь-Lietuva
- Контактная информация:
УЗИ, образование в печени
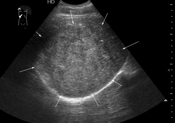
Молодой человек, наркоман, поступил в хирургическое отделение с подозрением на абсцесс печени.
Жалобы на высокую температуру, слабость.
Сонограмма печени:
Видео:
Год назад при УЗИ в печени находили образование больших размеров.
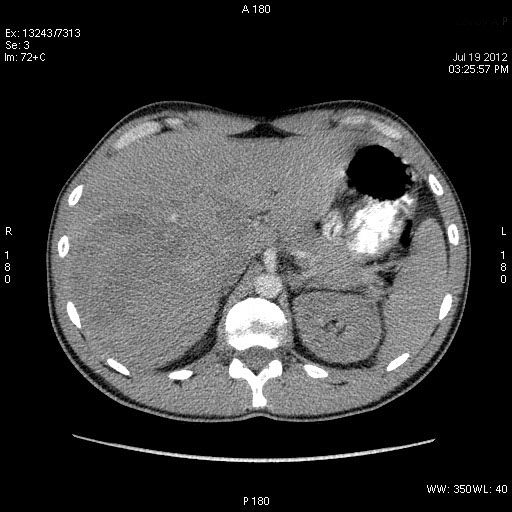
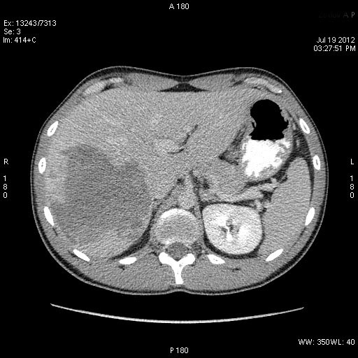
КТ через день
Что-то не укладывается именно ультразвуковая картирка в абсцесс печени.
После КТ хирурги заказали дренирование "абсцесса".
Выполнена диагностическая пункция из 4х участков, получена только кровь.
На следующий день сонографическая картина немного изменилась:
Какие мысли?
Жалобы на высокую температуру, слабость.
Сонограмма печени:
Видео:
Год назад при УЗИ в печени находили образование больших размеров.
КТ через день
Что-то не укладывается именно ультразвуковая картирка в абсцесс печени.
После КТ хирурги заказали дренирование "абсцесса".
Выполнена диагностическая пункция из 4х участков, получена только кровь.
На следующий день сонографическая картина немного изменилась:
Какие мысли?
Re: УЗИ, образование в печени
на узи на абсцесс не похоже, образование солидное ----гепатома?
Re: УЗИ, образование в печени
Гигантская капилярная гемангиома печени.
Ангиографию надо назначить или УЗИ с контрастированием.
Ангиографию надо назначить или УЗИ с контрастированием.
http://endosono.ru
*****************************************
Странный этот мир, в котором двое смотрят на одно и тоже, а видят разное.
Агата Кристи.
*****************************************
Странный этот мир, в котором двое смотрят на одно и тоже, а видят разное.
Агата Кристи.
- KsV
- Администратор
- Сообщения: 2191
- Зарегистрирован: 22 фев 2009, 13:38
- Откуда: Беларусь-Lietuva
- Контактная информация:
Re: УЗИ, образование в печени
1. Чем не устраивает КТ (с контрастированием)dok69 писал(а):Гигантская капилярная гемангиома печени.
Ангиографию надо назначить или УЗИ с контрастированием.
2. Чем лучше УЗИ с контрастированием? Какие контрасты использовать? Какое оборудование?
Re: УЗИ, образование в печени
Вопрос на вопрос.KapustinSV писал(а):dok69 писал(а): 1. Чем не устраивает КТ (с контрастированием)
2. Чем лучше УЗИ с контрастированием? Какие контрасты использовать? Какое оборудование?
1. А чем не устраивает УЗИ с контрастом?
2. Чем лучше КТ с контрастированием?
Если у вас не используют этот метод, то пожалуйста сделайте КТ с контрастом.
Раздница только в лучевой нагрузке и цене исследования.
А да и в наличии специалиста владеющего этой методикой.
А на остальные ваши вопросы отвечу ссылкой - http://www.contrastultrasound-modality.com/index.php
А что думаете на счет гемангиомы?
http://endosono.ru
*****************************************
Странный этот мир, в котором двое смотрят на одно и тоже, а видят разное.
Агата Кристи.
*****************************************
Странный этот мир, в котором двое смотрят на одно и тоже, а видят разное.
Агата Кристи.
- KsV
- Администратор
- Сообщения: 2191
- Зарегистрирован: 22 фев 2009, 13:38
- Откуда: Беларусь-Lietuva
- Контактная информация:
Re: УЗИ, образование в печени
Насмешили.dok69 писал(а):Если у вас не используют этот метод, то пожалуйста сделайте КТ с контрастом.
Раздница только в лучевой нагрузке и цене исследования.
А да и в наличии специалиста владеющего этой методикой.![]()
А у вас в Бобруйске используют? или в Минске?
1. Начнем с того, что УЗИ с контрастированием (CEUS) необходимо немного для других целей, оно не всегда отменяет проведение КТ с контрастированием.
2. Для проведения CEUS необходим контраст, оптимально -SonoVue(r). Оптовая стоимость упаковки при условиях массовой закупки для западной клиники, производящей около 30 исследований в день, в 2005 году составляла 110$ и не думаю что сейчас он стал дешевле, да и плюс наша растаможка.
Кстати, у нас, в прочем как и в России, SonoVue(r) не зарегистрирован.
3. В УЗИ аппаратах должно быть программное обеспечение для CEUS.
Re: УЗИ, образование в печени
извините , корифеи, но на первичке нам говорили , что на постсоветском пространстве контрасты для узи не используюстя..ибо нет патента.. 
Re: УЗИ, образование в печени
Хорошее дело сделал, расмешил хорошего человека!
Отвечаю.
У нас в Бобруске не делают!

- http://www.efsumb-portal.org/ep/article.php?id=57
- http://www.touchbriefings.com/pdf/3136/dietrich.pdf
- https://www.thieme-connect.de/ejournals ... 335198.pdf
На счет контрастного вещества.
Я знал, что рекомендовать, тем более он у вас есть.
Отвечаю.
У нас в Бобруске не делают!

А для каких целей нужно УЗИ с контрастированием, как не для диагностики образование, в том числе и печени?Начнем с того, что УЗИ с контрастированием (CEUS) необходимо немного для других целей, оно не всегда отменяет проведение КТ с контрастированием.
- http://www.efsumb-portal.org/ep/article.php?id=57
- http://www.touchbriefings.com/pdf/3136/dietrich.pdf
- https://www.thieme-connect.de/ejournals ... 335198.pdf
На счет контрастного вещества.
Я знал, что рекомендовать, тем более он у вас есть.
А какое, позвольте узнать?В УЗИ аппаратах должно быть программное обеспечение для CEUS.
http://endosono.ru
*****************************************
Странный этот мир, в котором двое смотрят на одно и тоже, а видят разное.
Агата Кристи.
*****************************************
Странный этот мир, в котором двое смотрят на одно и тоже, а видят разное.
Агата Кристи.
- KsV
- Администратор
- Сообщения: 2191
- Зарегистрирован: 22 фев 2009, 13:38
- Откуда: Беларусь-Lietuva
- Контактная информация:
Re: УЗИ, образование в печени
Да, конечно, CEUS позволяет выявлять очаговые образования печени, невидимые или плохо видимые при обычном исследовании и характеризовать их по скорости накопления/вымывания контраста. Но эра контрастов в ультразвуке только начинается и CEUS еще не является общепринятой технологией, в отличие от КТ с контрастированием.
В данном конкретном случае CEUS не показано, так как очаг выявлен при обычном исследовании и его гемодинамическая характеристика может быть изучена на основании данных КТ.
В данном конкретном случае CEUS не показано, так как очаг выявлен при обычном исследовании и его гемодинамическая характеристика может быть изучена на основании данных КТ.
Re: УЗИ, образование в печени
Я с вами согласен в той части, что эра контрастирования у нас еще не наступила и что это для нас пока дорого, хотя если кому надо, то это и не такие большие деньги.
Но не согласен, что она здесь не показана.
И дело здесь не в том, что образование уже выявлено , а в том, что бы ответить на два вопроса:
1. Это абсцесс или опухоль?
2. Если опухоль, то доброкачественная она или нет?
Ультразвуковаое контрастирование может помочь в этом.
Во всяком случае именно об этом читал лекцию на последней конференции в Минске профессор Блейк из Германии, у которого большой опыт в области ультразвуового контрастирования.
Но не согласен, что она здесь не показана.
И дело здесь не в том, что образование уже выявлено , а в том, что бы ответить на два вопроса:
1. Это абсцесс или опухоль?
2. Если опухоль, то доброкачественная она или нет?
Ультразвуковаое контрастирование может помочь в этом.
Во всяком случае именно об этом читал лекцию на последней конференции в Минске профессор Блейк из Германии, у которого большой опыт в области ультразвуового контрастирования.
http://endosono.ru
*****************************************
Странный этот мир, в котором двое смотрят на одно и тоже, а видят разное.
Агата Кристи.
*****************************************
Странный этот мир, в котором двое смотрят на одно и тоже, а видят разное.
Агата Кристи.
Кто сейчас на конференции
Сейчас этот форум просматривают: нет зарегистрированных пользователей и 0 гостей