Уважаемые коллеги! Клинический случай.
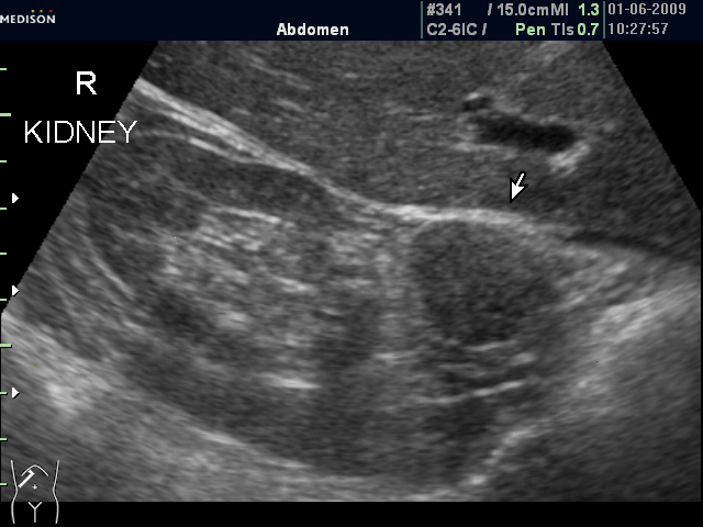
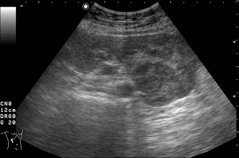
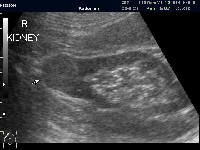
Женщина 72 лет. При УЗИ выявлены два аваскулярные образования: в нижнем полюсе правой почки и у верхнего полюса почки.
Уникальность случая в том, что эти изменения - БЕЗ ДИНАМИКИ с 2005 года.
Опухоль почки?
Модератор: KsV
-
А.М.Шифрин
- Сообщения: 60
- Зарегистрирован: 12 апр 2009, 18:41
- Контактная информация:
- KsV
- Администратор
- Сообщения: 2191
- Зарегистрирован: 22 фев 2009, 13:38
- Откуда: Беларусь-Lietuva
- Контактная информация:
Re: Опухоль почки?
Опухоль почки и надпочечника.
У пожилых людей опухли чаще всего растут медленно.
Случай из практики - бабушка 73 лет "наблюдала" опухоль почки более 5 лет. После того как было выполнено УЗИ, гордо предъявила старую картинку, где опухоль была миллиметр в миллиметр со свежей картинкой. Я решил, что это доброкачественное образование, например онкоцитома.
Бабушку прооперировали, заключение - почечно-клеточный рак (RCC).

У пожилых людей опухли чаще всего растут медленно.
Случай из практики - бабушка 73 лет "наблюдала" опухоль почки более 5 лет. После того как было выполнено УЗИ, гордо предъявила старую картинку, где опухоль была миллиметр в миллиметр со свежей картинкой. Я решил, что это доброкачественное образование, например онкоцитома.
Бабушку прооперировали, заключение - почечно-клеточный рак (RCC).
Re: Опухоль почки?
здравствуйте, др.Капустин.Уважаемый коллега на сайте эхография разместили интересное наблюдение в разделе общий форум, полиповидные изменения в почках, очень хочеться прочитать Ваше мнение,посмотрите пожалуйста.
Re: Опухоль почки?
Без допплера явно опухоль почки
Кто сейчас на конференции
Сейчас этот форум просматривают: нет зарегистрированных пользователей и 0 гостей