УЗИ селезенки-панкреатическая киста
- KsV
- Администратор
- Сообщения: 2191
- Зарегистрирован: 22 фев 2009, 13:38
- Откуда: Беларусь-Lietuva
- Контактная информация:
УЗИ селезенки-панкреатическая киста
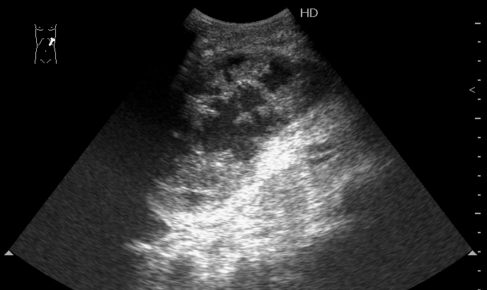
Мужчина 1952 г.р. поступил с болями в животе в БСМП. Длительное время страдал хроническим панкреатитом. Травму отрицает.
видео - Ваше заключение?
Tags: lienal, pancreatic, cyst, ultrasonography, sonography
видео - Ваше заключение?
Tags: lienal, pancreatic, cyst, ultrasonography, sonography
Re: УЗИ селезенки
Даже не знаю
паренхиматозная гематома....ли может быть - разможженная селезенка? 
Re: УЗИ селезенки
По сонограмме и видео можно предположить и "старую" кисту хвоста поджелудочной железы
Но.... был у нас тут недавно случай: мужчина 58л, жалобы на боли в левом подреберье, из анамнеза Рак p.Fateri T2N0M0 IIст, IIIкл.гр., после ПДР.
Из протокола УЗИ: в воротах селезенки виз-ся жидкостное образование разм.... инкапсулированное, неоднородной структуры с вероятными признаками абсцедирования.Закл: По УЗ-признакам нельзя исключить абсцесс в воротах селезенки.
Операция: Абсцесс селезенки...
Поэтому и в представленном С.В. случае можно предположить абсцесс
Но.... был у нас тут недавно случай: мужчина 58л, жалобы на боли в левом подреберье, из анамнеза Рак p.Fateri T2N0M0 IIст, IIIкл.гр., после ПДР.
Из протокола УЗИ: в воротах селезенки виз-ся жидкостное образование разм.... инкапсулированное, неоднородной структуры с вероятными признаками абсцедирования.Закл: По УЗ-признакам нельзя исключить абсцесс в воротах селезенки.
Операция: Абсцесс селезенки...
Поэтому и в представленном С.В. случае можно предположить абсцесс
Re: УЗИ селезенки
Полный абсцесс....
Сонограммы не подлежат интерпретации!
Сонограммы не подлежат интерпретации!
http://endosono.ru
*****************************************
Странный этот мир, в котором двое смотрят на одно и тоже, а видят разное.
Агата Кристи.
*****************************************
Странный этот мир, в котором двое смотрят на одно и тоже, а видят разное.
Агата Кристи.
- KsV
- Администратор
- Сообщения: 2191
- Зарегистрирован: 22 фев 2009, 13:38
- Откуда: Беларусь-Lietuva
- Контактная информация:
Re: УЗИ селезенки
Инга, а анатомически эта штука разве в воротах селезенки? Где стоит датчик? - если стандартно в левой поясничной области, то образование расположено по наружному контуру селезенки.
Кстати, такие штуки можно и нужно пытаться дренировать - она же под руками!
Кстати, такие штуки можно и нужно пытаться дренировать - она же под руками!
- KsV
- Администратор
- Сообщения: 2191
- Зарегистрирован: 22 фев 2009, 13:38
- Откуда: Беларусь-Lietuva
- Контактная информация:
Re: УЗИ селезенки
Дело в том, что на сонограмме - селезенка.Инга писал(а):По сонограмме и видео можно предположить и "старую" кисту хвоста поджелудочной железы![]()
Re: УЗИ селезенки
К сожалению, маркеры не поставила на фото для хирургов, а в историю компьютера не сохранила, поэтому фотографировала для форума уже из истории болезни. Поверьте на слово- это в воротах селезенки.KapustinSV писал(а):Инга, а анатомически эта штука разве в воротах селезенки? Где стоит датчик? - если стандартно в левой поясничной области, то образование расположено по наружному контуру селезенки.
Кстати, такие штуки можно и нужно пытаться дренировать - она же под руками!
Надеюсь, что когда-нибудь начну. Желание имеется
Re: УЗИ селезенки
Я верю.... Поэтому и предполагаю абсцесс селезенкиKapustinSV писал(а): Дело в том, что на сонограмме - селезенка.
Re: УЗИ селезенки
Сергей Васильевич, так что же это? А то вы переключились на панкреатиты
и здесь не отвечаете...
- KsV
- Администратор
- Сообщения: 2191
- Зарегистрирован: 22 фев 2009, 13:38
- Откуда: Беларусь-Lietuva
- Контактная информация:
Re: УЗИ селезенки
Мы вначале предпложили внутрикапсульный разрыв селезенки и ее разможжение, несмотря на отсутствие данных за травму (иногда наши пациенты имеют обыкновение её скрывать).
И ошиблись.
На секции - хронический панкреатит, псевдокиста селезенки. После вскрытия капсулы селезенки выделилась серая жидкость без примесей крови.
Механизм образования такой псевдокисты (?) мне лично непонятен, думаю обсудить это дело с университетскими анатомами.
И ошиблись.
На секции - хронический панкреатит, псевдокиста селезенки. После вскрытия капсулы селезенки выделилась серая жидкость без примесей крови.
Механизм образования такой псевдокисты (?) мне лично непонятен, думаю обсудить это дело с университетскими анатомами.
Кто сейчас на конференции
Сейчас этот форум просматривают: нет зарегистрированных пользователей и 1 гость