УЗИ, о.панкреатит, ранние признаки

Печень, желчный пузырь, поджелудочная железа, селезенка. Кишечник.
Только верифицированые изображения
Аватара пользователя
KsV
Администратор
Сообщения: 2191
Зарегистрирован: 22 фев 2009, 13:38
Откуда: Беларусь-Lietuva
Контактная информация:

УЗИ, о.панкреатит, ранние признаки

Сообщение KsV »

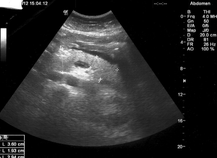
Молодой парень, днем стал сильно болеть живот, поздним вечером поступил в БСМП.
Logiq C5
Logiq C5
Осмотр на следующий день
Philips InVisor
Philips InVisor
Заключение?
Serg
Сообщения: 252
Зарегистрирован: 15 июн 2011, 20:52
Контактная информация:

Re: УЗИ, боли в животе

Сообщение Serg »

на первой эхограмме увеличение головки панкреас, оментобурсит...

На второй язва луковицы дуоденум?
Аватара пользователя
dok69
Сообщения: 137
Зарегистрирован: 19 дек 2009, 19:32
Откуда: г.Бобруйск
Контактная информация:

Re: УЗИ, боли в животе

Сообщение dok69 »

Острый панкреатит, осложненный некрозом стенки 12 п.к.
http://endosono.ru
*****************************************
Странный этот мир, в котором двое смотрят на одно и тоже, а видят разное.
Агата Кристи.
Аватара пользователя
dok69
Сообщения: 137
Зарегистрирован: 19 дек 2009, 19:32
Откуда: г.Бобруйск
Контактная информация:

Re: УЗИ, боли в животе

Сообщение dok69 »

KapustinSV, так что же с пациентом?
А то начали пост и молчите.
http://endosono.ru
*****************************************
Странный этот мир, в котором двое смотрят на одно и тоже, а видят разное.
Агата Кристи.
Аватара пользователя
KsV
Администратор
Сообщения: 2191
Зарегистрирован: 22 фев 2009, 13:38
Откуда: Беларусь-Lietuva
Контактная информация:

Re: УЗИ, боли в животе

Сообщение KsV »

Похоже, других мнений не будет.

На сонограммах о.панкреатит, в первый и следующий день после начала заболевания. Обратите внимание на изменение эхогенности железы и на два признака, которые позволили диагностировать заболевание в первый же день.
Аватара пользователя
dok69
Сообщения: 137
Зарегистрирован: 19 дек 2009, 19:32
Откуда: г.Бобруйск
Контактная информация:

Re: УЗИ, боли в животе

Сообщение dok69 »

Самое интересное что эхогенность железы нормальная, даже несколько повышена, а вот размеры и парапанкреатический инфильтрат за о.панкреатит.
http://endosono.ru
*****************************************
Странный этот мир, в котором двое смотрят на одно и тоже, а видят разное.
Агата Кристи.
Аватара пользователя
KsV
Администратор
Сообщения: 2191
Зарегистрирован: 22 фев 2009, 13:38
Откуда: Беларусь-Lietuva
Контактная информация:

Re: УЗИ, боли в животе

Сообщение KsV »

Тема разделена.

Открыта новая тема"УЗИ, эхогенность панкреас при остром панкреатите"
Аватара пользователя
KsV
Администратор
Сообщения: 2191
Зарегистрирован: 22 фев 2009, 13:38
Откуда: Беларусь-Lietuva
Контактная информация:

Re: УЗИ, боли в животе

Сообщение KsV »

Так что это за признаки? (кроме увеличения железы)
Serg
Сообщения: 252
Зарегистрирован: 15 июн 2011, 20:52
Контактная информация:

Re: УЗИ, боли в животе

Сообщение Serg »

жидкость в полости малого сальника + компрессия сел. вены!
Аватара пользователя
KsV
Администратор
Сообщения: 2191
Зарегистрирован: 22 фев 2009, 13:38
Откуда: Беларусь-Lietuva
Контактная информация:

Re: УЗИ, боли в животе

Сообщение KsV »

Serg писал(а):жидкость в полости малого сальника + компрессия сел. вены!
Да, видим выпот кпереди от панкреас (действительно, в сальниковой сумке) и выпот между телом панкреас и селезеночной веной.

Причем второй признак - по моим наблюдениям - является самым ранним и быстро исчезает.
Ответить

Вернуться в «Абдоминальные исследования»

Кто сейчас на конференции

Сейчас этот форум просматривают: нет зарегистрированных пользователей и 0 гостей