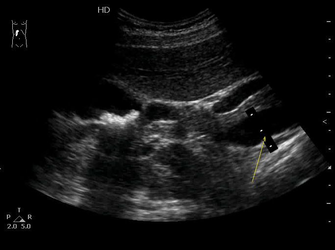
УЗИ ЖВП: конкремент в пузырном протоке
- KsV
- Администратор
- Сообщения: 2191
- Зарегистрирован: 22 фев 2009, 13:38
- Откуда: Беларусь-Lietuva
- Контактная информация:
УЗИ ЖВП: конкремент в пузырном протоке
Молодая женщина, плановое обследование.
Жалоб не предъявляет.
Ваше заключение?
Tags: cystic duct stone, ultrasonography, sonography
Жалоб не предъявляет.
Ваше заключение?
Tags: cystic duct stone, ultrasonography, sonography
Re: УЗИ ЖВП
А она не желтая? )))
Возможно холедохолитиаз, дилятация холедоха ????
Возможно холедохолитиаз, дилятация холедоха ????
- KsV
- Администратор
- Сообщения: 2191
- Зарегистрирован: 22 фев 2009, 13:38
- Откуда: Беларусь-Lietuva
- Контактная информация:
Re: УЗИ ЖВП
Нет, желтухи нет. Холедох, кстати, не расширен.Инга писал(а):А она не желтая? )))
Возможно холедохолитиаз, дилятация холедоха ????
Re: УЗИ ЖВП
камни в пузырном
- KsV
- Администратор
- Сообщения: 2191
- Зарегистрирован: 22 фев 2009, 13:38
- Откуда: Беларусь-Lietuva
- Контактная информация:
Re: УЗИ ЖВП
ЖКБ, холецистолитиаз, необструктивный конкремент пузырного протока.
Оперирована, все подтвердилось.
Оперирована, все подтвердилось.
Re: УЗИ ЖВП: конкремент в пузырном протоке
Да, холедох где то до 7-8 мм. - верхняя граница нормы.
Камни в пузырном протоке четко видны.
Интересно делали пациентке ФГДС ?
Все ли там нормально с Фатеровым соском?
Камни в пузырном протоке четко видны.
Интересно делали пациентке ФГДС ?
Все ли там нормально с Фатеровым соском?
http://endosono.ru
*****************************************
Странный этот мир, в котором двое смотрят на одно и тоже, а видят разное.
Агата Кристи.
*****************************************
Странный этот мир, в котором двое смотрят на одно и тоже, а видят разное.
Агата Кристи.
- KsV
- Администратор
- Сообщения: 2191
- Зарегистрирован: 22 фев 2009, 13:38
- Откуда: Беларусь-Lietuva
- Контактная информация:
Re: УЗИ ЖВП: конкремент в пузырном протоке
Если холедох 7-8 мм, то сколько вена порта? ))
Re: УЗИ ЖВП: конкремент в пузырном протоке
Судя по всему это вы нам сказать должны, но предположу, что где то до 13-15 мм. 

http://endosono.ru
*****************************************
Странный этот мир, в котором двое смотрят на одно и тоже, а видят разное.
Агата Кристи.
*****************************************
Странный этот мир, в котором двое смотрят на одно и тоже, а видят разное.
Агата Кристи.
- KsV
- Администратор
- Сообщения: 2191
- Зарегистрирован: 22 фев 2009, 13:38
- Откуда: Беларусь-Lietuva
- Контактная информация:
Re: УЗИ ЖВП: конкремент в пузырном протоке
dok69, то что Вы измерили - Это НПВ.
Re: УЗИ ЖВП: конкремент в пузырном протоке
Да ..., пардон, промахнулся.KapustinSV писал(а):dok69, то что Вы измерили - Это НПВ.
А чего вы спрашиваете про ВВ?
Если ее здесь не видно.
http://endosono.ru
*****************************************
Странный этот мир, в котором двое смотрят на одно и тоже, а видят разное.
Агата Кристи.
*****************************************
Странный этот мир, в котором двое смотрят на одно и тоже, а видят разное.
Агата Кристи.
Кто сейчас на конференции
Сейчас этот форум просматривают: нет зарегистрированных пользователей и 0 гостей