trouble с аортальным клапаном. Ваши мнения?
Модератор: dok333
- dok333
- Сообщения: 142
- Зарегистрирован: 29 окт 2010, 09:59
- Откуда: Ukraine,Kharkiv
- Контактная информация:
trouble с аортальным клапаном. Ваши мнения?
Молодой парень, спортсмен-боксер, на чемпионате в момент сильной физической нагрузки (плюс отмечает что получил сильный удар в область сердца)почувствовал себя плохо. Через время пришел амбулаторно сделать ЭКО-КС. Увидел такую ситуацию: двухстворчатый аортальный клапан с пролабированием и регургитацией, при чем по короткой оси не могу исключить отслоение интимы. дилатирован левый желудочек до 6,4 в диастолу. Рекомендовал консультацию кардиохирурга. Это было полгода назад. Пришел вчера. полость ЛЖ 6,7 в диастолу. Он еще и продолжал тренироваться эти полгода. К кардиохирургам не ездил. Приходил с отцом, у отца мнение, что все что у сына ничего страшного. Внешне сын атлетически сложен, жалоб на момент осмотра нет, как результат отец недооценивает ситуацию. Все таки, думаю, убедил ехать к кардиохирургам. Ваше мнение исходя из некоторых видео.
Сам думаю творчески так: на фоне ВПС-двухстворчатого клапана не произошол ли инцидент в момент сверхнагрузки и возможно произошло отслоение интимы?
Сам думаю творчески так: на фоне ВПС-двухстворчатого клапана не произошол ли инцидент в момент сверхнагрузки и возможно произошло отслоение интимы?
Re: trouble с аортальным клапаном. Ваши мнения?
По ходу у молодого боксера есть ВПС: Двустворка АОК с явлениями недостаточности по крайней мере умеренной степени. Все это было и полгода назад - левый желудочек не расширяется так быстро за несколько дней. А сас может и есть прогрессирование АН - если растет ЛЖ и аортальная регургитация. Надо определить степень тяжести аортальной регургитации (см. первоисточники). Идея расслаивающей аневризмы восходящей хороша, так как расширение восходящей аорты часто сопровождает двустворчватый АОК. Для этого надо смотреть восходящюю арту, дугу аорты, состояние стенки аорты (расслоение, интимальные лоскутыЮ ложный ход и др.)
- dok333
- Сообщения: 142
- Зарегистрирован: 29 окт 2010, 09:59
- Откуда: Ukraine,Kharkiv
- Контактная информация:
Re: trouble с аортальным клапаном. Ваши мнения?
я и так понимаю что у него врожденный порок-двухстворчатый АК. И полости я же пишу дилатированы полгода назад были и сейчас. Есть даже отрицательная динамика в расширении левого желудочка. Вопрос по АК по короткой оси и по самой регургитации - нет ли расслоения на данном видео. Восходящий отдел не расширен и отслйка не визуализируется. Мне не нравится странная турбулентность на АК и своеобразный вид двухстворчатого клапана с кровотоком в том месте где он не совсем понятен, скажем так.
Имею в виду, что к врожденному дефекту вероятно добавилось расслоение в момент интенсивной нагрузки\удара... Вот в чем вопрос.
Парадокс ситуации, что парень с отцом недооценивают, что ситуация может оказаться критичной.
Имею в виду, что к врожденному дефекту вероятно добавилось расслоение в момент интенсивной нагрузки\удара... Вот в чем вопрос.
Парадокс ситуации, что парень с отцом недооценивают, что ситуация может оказаться критичной.
Re: trouble с аортальным клапаном. Ваши мнения?
Таки, похоже на отслоение интимы, которое начинает становиться заметным по короткой оси в начале диастолы на 2-х часах. А изменилась ли за полгода регургитация? Если это отслойка интимы, то характер регургитации, причем не только ее степень, но и направление струи регургитации должно было измениться.
- KsV
- Администратор
- Сообщения: 2191
- Зарегистрирован: 22 фев 2009, 13:38
- Откуда: Беларусь-Lietuva
- Контактная информация:
Re: trouble с аортальным клапаном. Ваши мнения?
Соглашусь с мнением наших экспертов.
- dok333
- Сообщения: 142
- Зарегистрирован: 29 окт 2010, 09:59
- Откуда: Ukraine,Kharkiv
- Контактная информация:
Re: trouble с аортальным клапаном. Ваши мнения?
характер регургитации, как мне кажется, не изменился. Картина по памяти практически идентична. Разве полость левого желудочка дилатировалась больше. Попробую найти первое видео(если сохранил).
Re: trouble с аортальным клапаном. Ваши мнения?
can any one tell me the topic in English please??
I want to share my views
the discussion seems interesting but i can't understand a single word
any one help me out??
I want to share my views
the discussion seems interesting but i can't understand a single word
any one help me out??
Worried about NS0-504 exam & comptia Test-king.com We offer up-to-dated bu.edu practice questions and www.smith.edu dumps
- KsV
- Администратор
- Сообщения: 2191
- Зарегистрирован: 22 фев 2009, 13:38
- Откуда: Беларусь-Lietuva
- Контактная информация:
Re: trouble с аортальным клапаном. Ваши мнения?
jessica, quick translation of 1st post is below.
The young man, an athlete, a boxer, in the championship at the time of strenuous exercise (he notes that received a strong blow to the heart) felt bad. After the time has come to make an outpatient echocardiography. I saw this: double aortic valve prolapse and regurgitation, with those on the short axis can not exclude the intimal dissection. The left ventricle dilated up to 6.4mm. I recommended consultation cardiac surgeon. That was six months ago. He came yesterday, 6.7mm LV in diastole. He training these six months, by didn't visit to a cardiologist. He came with his father together, his father believed that nothing to worry about. Externally son athletically built, complaints at the time of the inspection there as a result of the father (not having basic medical knowledge) underestimates the situation. All the same, I think, persuaded to go to cardiologists. Your opinion on the basis of some videos.
Now I think may it be due to a blow?
The young man, an athlete, a boxer, in the championship at the time of strenuous exercise (he notes that received a strong blow to the heart) felt bad. After the time has come to make an outpatient echocardiography. I saw this: double aortic valve prolapse and regurgitation, with those on the short axis can not exclude the intimal dissection. The left ventricle dilated up to 6.4mm. I recommended consultation cardiac surgeon. That was six months ago. He came yesterday, 6.7mm LV in diastole. He training these six months, by didn't visit to a cardiologist. He came with his father together, his father believed that nothing to worry about. Externally son athletically built, complaints at the time of the inspection there as a result of the father (not having basic medical knowledge) underestimates the situation. All the same, I think, persuaded to go to cardiologists. Your opinion on the basis of some videos.
Now I think may it be due to a blow?
- dok333
- Сообщения: 142
- Зарегистрирован: 29 окт 2010, 09:59
- Откуда: Ukraine,Kharkiv
- Контактная информация:
Re: trouble с аортальным клапаном. Ваши мнения?
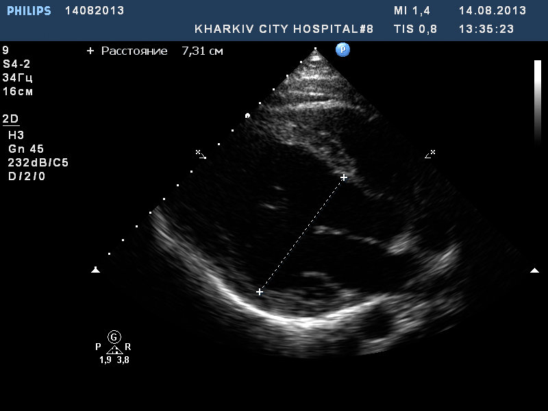
Пришел сегодня этот парень. Начал чувствовать себя периодически "не очень" . Отмечает перебои в работе сердца. Надумал ехать в Киев к кардиохирургам на консультацию и дальнейшее оперативное лечение.
Левый желудочек расширился до 7.3 см в диастолу.
Левый желудочек расширился до 7.3 см в диастолу.
Кто сейчас на конференции
Сейчас этот форум просматривают: нет зарегистрированных пользователей и 0 гостей