ЭхоКГ. ТРОМБОЭМБОЛИЯ.

Сердце.
Изображения для консультации

Модератор: dok333

Ответить
OLGA
Сообщения: 13
Зарегистрирован: 27 май 2009, 21:35
Контактная информация:

ЭхоКГ. ТРОМБОЭМБОЛИЯ.

Сообщение OLGA »

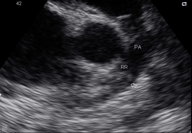
ПОСЛЕ ОПЕРАЦИИ ПО ПОВОДУ ГРЫЖИ МЕЖПОЗВОНОЧНЫХ ДИСКОВ ПОЯСНИЧНОГО ОТДЕЛА МОЛОДАЯ ЖЕНЩИНА ПОПАДАЕТ В РАО С СИМПТОМАМИ ТРОМБОЭМБОЛИИ. НА ЭХО ПОЛУЧИЛАСЬ ВОТ ТАКАЯ КАРТИНКА. ВАШЕ МНЕНИЕ, КОЛЛЕГИ, ВОЗМОЖНАЯ ТАКТИКА.
03_06_2009_15_41_53_6.3.2009.15.43.34_2.zip
(2.05 МБ) 212 скачиваний
Вложения
001.jpg
Последний раз редактировалось OLGA 23 июн 2009, 22:52, всего редактировалось 1 раз.
OLGA
Сообщения: 13
Зарегистрирован: 27 май 2009, 21:35
Контактная информация:

Re: ЭхоКГ. ТРОМБОЭМБОЛИЯ.

Сообщение OLGA »

Данные удаляю:)
ТЛТ успешно проведена, размеры камер сердца в пределах нормы, легочной гипертензии нет, тромб не визуализируется. Правда нет гарантий, что все участки тромба до конца растворились, в правой ветви долгое время сохранялся измененный кровоток.
Ответить

Вернуться в «Кардиологические исследования»

Кто сейчас на конференции

Сейчас этот форум просматривают: нет зарегистрированных пользователей и 0 гостей