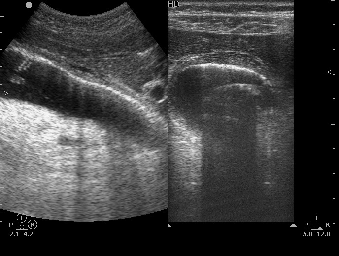
УЗИ: Острый эмфизематозный холецистит

Печень, желчный пузырь, поджелудочная железа, селезенка. Кишечник.
Только верифицированые изображения
Ответить
Аватара пользователя
KsV
Администратор
Сообщения: 2191
Зарегистрирован: 22 фев 2009, 13:38
Откуда: Беларусь-Lietuva
Контактная информация:

УЗИ: Острый эмфизематозный холецистит

Сообщение KsV »

Пожилой мужчина с болями по всему животу. Болеет 3-й день. Температура нормальная. Операций ранее не было.
Tags: acute emphysematous cholecystitis, ultrasonography, sonography
12-10-25-130048_8748_201210.jpg
phpBB [video]

phpBB [video]

phpBB [video]


Ваше заключение?
Аватара пользователя
Инга
Сообщения: 216
Зарегистрирован: 23 ноя 2009, 17:22
Контактная информация:

Re: УЗИ желчного пузыря

Сообщение Инга »

ЖКБ. Острый эмфизематозный холецистит.
Ответить

Вернуться в «Абдоминальные исследования»

Кто сейчас на конференции

Сейчас этот форум просматривают: нет зарегистрированных пользователей и 0 гостей