УЗИ ОБП, венозный тромбоз тонкой кишки

Печень, желчный пузырь, поджелудочная железа, селезенка. Кишечник.
Только верифицированые изображения
Ответить
Аватара пользователя
KsV
Администратор
Сообщения: 2191
Зарегистрирован: 22 фев 2009, 13:38
Откуда: Беларусь-Lietuva
Контактная информация:

УЗИ ОБП, венозный тромбоз тонкой кишки

Сообщение KsV »

Молодая женщина, 36 лет.
Три дня назад поступила с жалобами на боли в животе в эпигастральной области. При УЗИ в БП небольшое количество жидкости - в малом тазу.
Аппендицит клинически исключен.
Повторный осмотр в связи с усилением болей в животе, появлением инфильтрата в эпигастральной области, снижением гемоглобина.

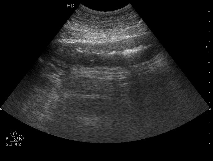
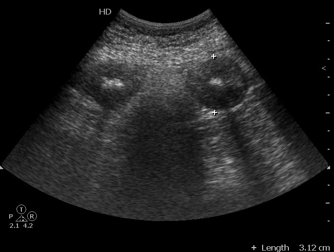
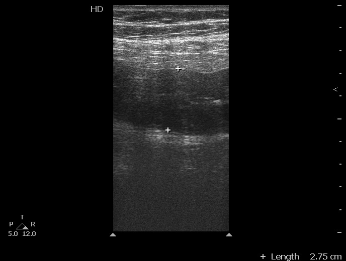
При УЗИ патологии печени, ЖП, панкреас, селезенки, почек не выявлено, имеется примерно прежнее количество свободной жидкости плюс изменения тонкой кишки:
12-10-16-105525_8422_2.jpg
12-10-16-105525_8422_3.jpg
12-10-16-105525_8422_201210.jpg
При операции выявлен сегментарный тромбоз вен брыжейки тонкой кишки с некрозом петель.
Каково?
Ожидаете такое в 36 лет?
Serg
Сообщения: 252
Зарегистрирован: 15 июн 2011, 20:52
Контактная информация:

Re: УЗИ ОБП, венозный тромбоз тонкой кишки

Сообщение Serg »

спасибо! это интерессный случай! А как в данном случае звучало уз заключение? до операции было предположение о венозном тромбозе?
Аватара пользователя
KsV
Администратор
Сообщения: 2191
Зарегистрирован: 22 фев 2009, 13:38
Откуда: Беларусь-Lietuva
Контактная информация:

Re: УЗИ ОБП, венозный тромбоз тонкой кишки

Сообщение KsV »

Serg писал(а):спасибо! это интерессный случай! А как в данном случае звучало уз заключение? до операции было предположение о венозном тромбозе?
В протоколе детальное описание изменений.
Заключение: Изменения стенок тонкой кишки. Свободная жидкость в брюшной полости.
Ответить

Вернуться в «Абдоминальные исследования»

Кто сейчас на конференции

Сейчас этот форум просматривают: нет зарегистрированных пользователей и 0 гостей