УЗИ: абсцесс печени
- KsV
- Администратор
- Сообщения: 2191
- Зарегистрирован: 22 фев 2009, 13:38
- Откуда: Беларусь-Lietuva
- Контактная информация:
УЗИ: абсцесс печени
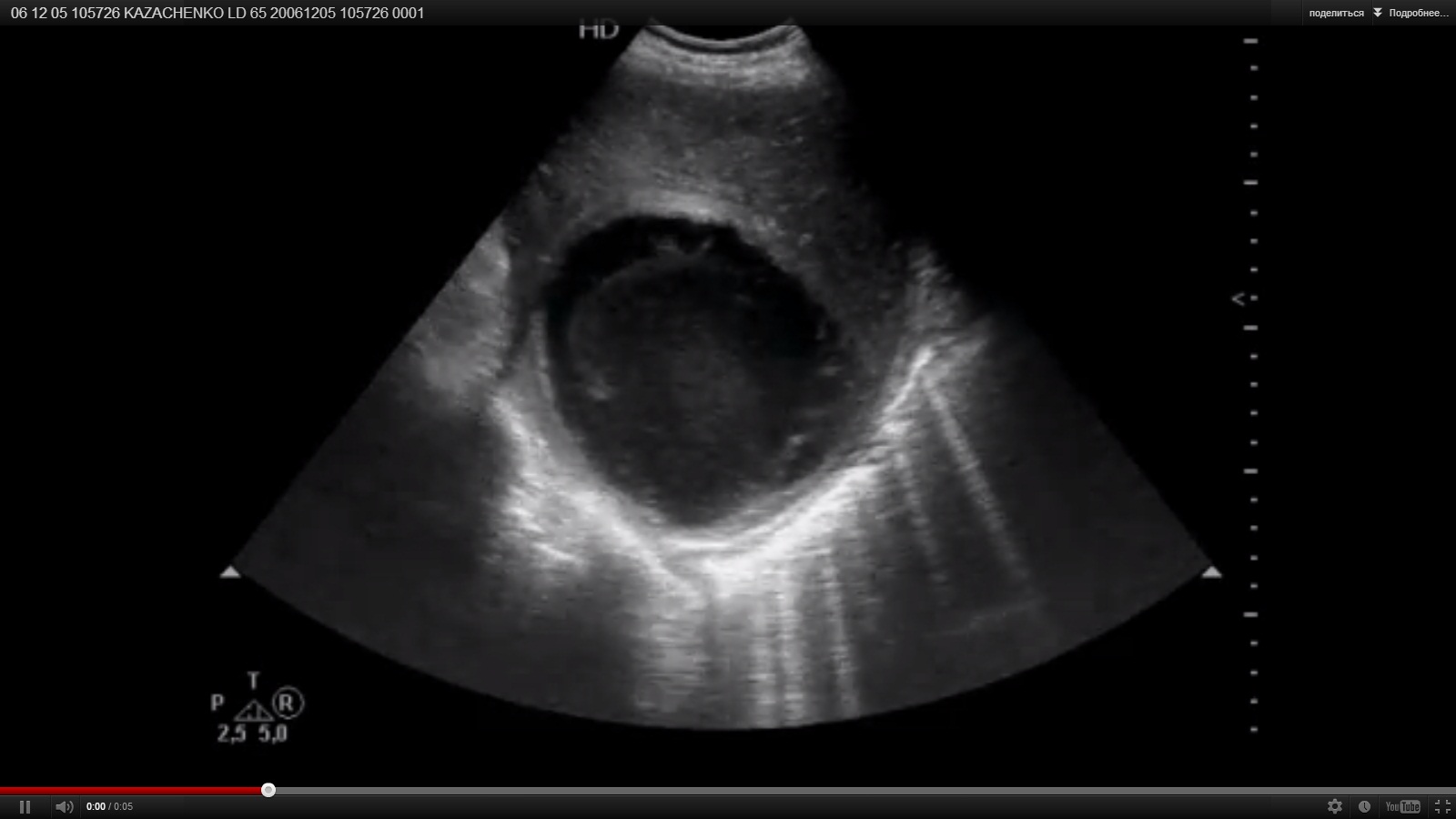
Молодой человек. Высоко температурит, бледный.
06-12-05-105726_
Заключение?
06-12-05-105726_
Заключение?
Re: УЗИ печени#2
Абсцесс печени.
Re: УЗИ печени#2
тогда уж...абсцессЫ...
Re: УЗИ печени#2
Кистозный МТС в печень.
- KsV
- Администратор
- Сообщения: 2191
- Зарегистрирован: 22 фев 2009, 13:38
- Откуда: Беларусь-Lietuva
- Контактная информация:
Re: УЗИ печени#2
Да, абсцессы печени.
БОльший был задренирован, остальные "ушли" на фоне консервативной терапии.
БОльший был задренирован, остальные "ушли" на фоне консервативной терапии.
Re: УЗИ печени#2
А мне и Serg "браво" ? Я например, как любая девочка , люблю когда меня хвалят.... 
- valeriy.andilevko
- Сообщения: 194
- Зарегистрирован: 01 мар 2011, 19:34
- Откуда: Витебск
- Контактная информация:
Re: УЗИ печени#2
Два скиншота, один - из данного топика, второй - из топика с эхинококкозом. Не зная клиники, как их отличить 
Re: УЗИ печени#2
Ну в 1 явно гной..... Вот как эхинококкоз и просто кисты диф-ть - это вопрос...
- KsV
- Администратор
- Сообщения: 2191
- Зарегистрирован: 22 фев 2009, 13:38
- Откуда: Беларусь-Lietuva
- Контактная информация:
Re: УЗИ печени#2
В случае с абсцессом - содержимое акустически непрозрачно + (самое главное)- имеется демаркационный вал паренхимы ("капсула"). Такая семиотика характерна для абсцессов всех паренхиматозных органов.
Паразитарная киста - округлая форма, тонкая капсула (возможна её петрификация), наличие внутри паразита (тонкая лентообразная структура), наличие "дочерних" кист. Где-то на радиографии была хорошая тема про паразитарные кисты печени - могут выглядеть как обычные кисты.
Паразитарная киста - округлая форма, тонкая капсула (возможна её петрификация), наличие внутри паразита (тонкая лентообразная структура), наличие "дочерних" кист. Где-то на радиографии была хорошая тема про паразитарные кисты печени - могут выглядеть как обычные кисты.
- KsV
- Администратор
- Сообщения: 2191
- Зарегистрирован: 22 фев 2009, 13:38
- Откуда: Беларусь-Lietuva
- Контактная информация:
Re: УЗИ печени#2
Все молодцы!Инга писал(а):А мне и Serg "браво" ? Я например, как любая девочка , люблю когда меня хвалят....
)
Кто сейчас на конференции
Сейчас этот форум просматривают: нет зарегистрированных пользователей и 0 гостей