УЗИ: острый апостематозный пиелонефрит...

Печень, желчный пузырь, поджелудочная железа, селезенка. Кишечник.
Только верифицированые изображения
Ответить
Аватара пользователя
KsV
Администратор
Сообщения: 2191
Зарегистрирован: 22 фев 2009, 13:38
Откуда: Беларусь-Lietuva
Контактная информация:

УЗИ: острый апостематозный пиелонефрит...

Сообщение KsV »

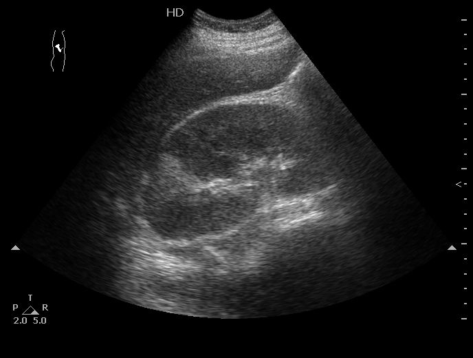
Роженица, во время беременности случилась почечная колика, стентирована.
Боли справа, повышение температуры.

Размеры правой почки 160х80х80мм
12-12-04-151430_10041_20121204_151430_20121204_160354_0003.jpg
phpBB [video]
Аватара пользователя
valeriy.andilevko
Сообщения: 194
Зарегистрирован: 01 мар 2011, 19:34
Откуда: Витебск
Контактная информация:

Re: УЗИ правой почки

Сообщение valeriy.andilevko »

Сегментарный инфаркт почки? Хотелось бы увидеть ЦДК .
Аватара пользователя
KsV
Администратор
Сообщения: 2191
Зарегистрирован: 22 фев 2009, 13:38
Откуда: Беларусь-Lietuva
Контактная информация:

Re: УЗИ правой почки

Сообщение KsV »

ЦДК, в тот же день

phpBB [video]
Аватара пользователя
KsV
Администратор
Сообщения: 2191
Зарегистрирован: 22 фев 2009, 13:38
Откуда: Беларусь-Lietuva
Контактная информация:

Re: УЗИ правой почки

Сообщение KsV »

Через три дня

phpBB [video]
Аватара пользователя
KsV
Администратор
Сообщения: 2191
Зарегистрирован: 22 фев 2009, 13:38
Откуда: Беларусь-Lietuva
Контактная информация:

Re: УЗИ правой почки

Сообщение KsV »

Острый правосторонний апостематозный пиелонефрит, формирующиеся абсцессы почки. МКБ, конкремент правой почки.
Пациентка переведена в урологию, где ей проводится консервативное лечение.
Аватара пользователя
valeriy.andilevko
Сообщения: 194
Зарегистрирован: 01 мар 2011, 19:34
Откуда: Витебск
Контактная информация:

Re: УЗИ правой почки

Сообщение valeriy.andilevko »

Сергей Васильевич, а можно попросить Вас показать на данном случае как выглядят апостемы? Все про них говорят, а иллюстрациями почему - то не сопровождают. А личных верифицированных изображений у меня нет.
Аватара пользователя
KsV
Администратор
Сообщения: 2191
Зарегистрирован: 22 фев 2009, 13:38
Откуда: Беларусь-Lietuva
Контактная информация:

Re: УЗИ правой почки

Сообщение KsV »

valeriy.andilevko писал(а):Сергей Васильевич, а можно попросить Вас показать на данном случае как выглядят апостемы? Все про них говорят, а иллюстрациями почему - то не сопровождают. А личных верифицированных изображений у меня нет.
Как выглядят собственно апостемы я показать не смогу, так как у меня нет такого замечательного высокочастотного датчика как у вас в детской больнице (вспоминаю сонограммы почек при поликистозной болезни новорожденных здесь на форуме). А вот как выглядит почка с таким заболеванием - см пост 1.
Это - большая почка со сравнительно маленьким центральным эхокомплексом, неравномерно гипоэхогенной паренхимой и отсутствием кортикомедуллярного контраста.
Аватара пользователя
KsV
Администратор
Сообщения: 2191
Зарегистрирован: 22 фев 2009, 13:38
Откуда: Беларусь-Lietuva
Контактная информация:

Re: УЗИ правой почки

Сообщение KsV »

Пациентка получала несколько дней консервативное лечение, затем оставила расписку и ушла из больницы.
Ответить

Вернуться в «Абдоминальные исследования»

Кто сейчас на конференции

Сейчас этот форум просматривают: нет зарегистрированных пользователей и 2 гостя