Митральный стеноз, частичный отрыв хорд передней створки МК

Сердце.
Только верифицированые изображения

Модератор: dok333

Ответить
Аватара пользователя
dok333
Сообщения: 142
Зарегистрирован: 29 окт 2010, 09:59
Откуда: Ukraine,Kharkiv
Контактная информация:

Митральный стеноз, частичный отрыв хорд передней створки МК

Сообщение dok333 »

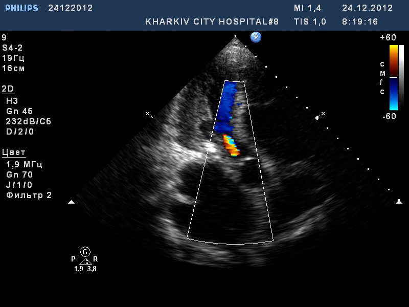
Пациент 52 лет. Поступил с нарушение ритма.

Заключение узи : склеротические изменения аорты, фиброзные изменения створок аортального клапана, незначительная недостаточность аортального клапана, частичный отрыв хорд передней створки митрального клапана, значительный митральный стеноз, умеренная МН, дилатация левого предсердия (6,0см), гипертрофия левого желудочка.

phpBB [video]


phpBB [video]


phpBB [video]


phpBB [video]
Вложения
1.jpg
2.jpg
3.jpg
4.jpg
Аватара пользователя
dok333
Сообщения: 142
Зарегистрирован: 29 окт 2010, 09:59
Откуда: Ukraine,Kharkiv
Контактная информация:

Re: Митральный стеноз, частичный отрыв хорд передней створки

Сообщение dok333 »

Вроде нет данных в его пользу. А там фиг его знает.
Ответить

Вернуться в «Кардиологические исследования»

Кто сейчас на конференции

Сейчас этот форум просматривают: нет зарегистрированных пользователей и 1 гость