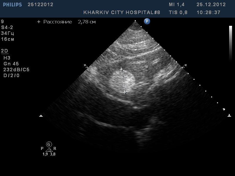
Пациентка 74года. гипертоник, сильная одышка при ходьбе, мерцательная аритмия.
Интересный момент- щеки пациентки темновато красные- напоминает при митральном стенозе. При обследовании стало ясно почему.
Имеется в полости левого предсердия флотирующая в кровотоке миксома, размерами до 4,3см.
п.с. и bonus track фото ее печени (левая доля). Расцениваю как липому
Миксома левого предсердия оказалась тромбом
Модератор: dok333
- KsV
- Администратор
- Сообщения: 2189
- Зарегистрирован: 22 фев 2009, 13:38
- Откуда: Беларусь-Lietuva
- Контактная информация:
Re: Миксома левого предсердия
Бонус я бы расценил стандартно как капиллярную гемангиому.
А миксома хороша.
А миксома хороша.
- dok333
- Сообщения: 142
- Зарегистрирован: 29 окт 2010, 09:59
- Откуда: Ukraine,Kharkiv
- Контактная информация:
Re: Миксома левого предсердия
Принято. Но бонус и я бы так расценил, если бы не практически идеальный круг. Привык к неровной формы гемангиомам. Тем более она чуть ярче чем на снимке. Гляну может видео есть.
-----------------------------------------------------------
Lipoma
Hepatic lipomas are extremely uncommon (15). Histologically, these lesions consist of mature adipose tissue. Lipomas have characteristic findings at imaging. At US, they appear as well-circumscribed, uniformly hyperechoic lesions (Fig 9). At CT and MR imaging, lipomas demonstrate pathognomonic characteristics of a fatty lesion.
http://www.hcvets.com/data/hcv_liver/livertumors.htm
-----------------------------------------------------------
Lipoma
Hepatic lipomas are extremely uncommon (15). Histologically, these lesions consist of mature adipose tissue. Lipomas have characteristic findings at imaging. At US, they appear as well-circumscribed, uniformly hyperechoic lesions (Fig 9). At CT and MR imaging, lipomas demonstrate pathognomonic characteristics of a fatty lesion.
http://www.hcvets.com/data/hcv_liver/livertumors.htm
- Вложения
-
- F16.medium.gif (142.76 КБ) 1350 просмотров
- dok333
- Сообщения: 142
- Зарегистрирован: 29 окт 2010, 09:59
- Откуда: Ukraine,Kharkiv
- Контактная информация:
Re: Миксома левого предсердия
Докладываю. Оказалось таки тромб)))) Коллеги кардиохирурги пересмотрели на чреспищеводном и увмдели что прикреплена, так сказать, к ушку ЛП.
решили провести антикоагулянтую терапию. " Миксома" растворилась в тумане)
решили провести антикоагулянтую терапию. " Миксома" растворилась в тумане)
- KsV
- Администратор
- Сообщения: 2189
- Зарегистрирован: 22 фев 2009, 13:38
- Откуда: Беларусь-Lietuva
- Контактная информация:
Re: Миксома левого предсердия
Да, трудное это дело дифдиагноз тромба и миксомы.
Кто сейчас на конференции
Сейчас этот форум просматривают: нет зарегистрированных пользователей и 0 гостей