Туберкулез почки

Почки, мочеточники, мочевой пузырь, уретра. Простата и яички.

Модератор: KsV

Ответить
super45
Сообщения: 19
Зарегистрирован: 18 мар 2009, 17:27
Контактная информация:

Туберкулез почки

Сообщение super45 »

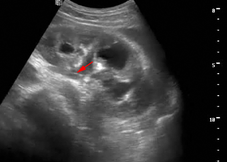
Пациент с подтвержденным туберкулезом почки
Вложения
2.jpg
super45
Сообщения: 19
Зарегистрирован: 18 мар 2009, 17:27
Контактная информация:

Re: Туберкулез почки

Сообщение super45 »

Почку не убрали, лечат. Диагноз поставили бактериоскопически.
super45
Сообщения: 19
Зарегистрирован: 18 мар 2009, 17:27
Контактная информация:

Re: Туберкулез почки

Сообщение super45 »

изначально положили с открытой формой туберкулеза легких, когда посмотрел почки начали исследовать мочу, при микроскопии обнаружены БК, но роста при посеве небыло, т.к. уже месяц лечили.
super45
Сообщения: 19
Зарегистрирован: 18 мар 2009, 17:27
Контактная информация:

Re: Туберкулез почки

Сообщение super45 »

Вот как выглядит почка при первом осмотре и в феврале
Вложения
1.jpg
3февраль.jpg
super45
Сообщения: 19
Зарегистрирован: 18 мар 2009, 17:27
Контактная информация:

Re: Туберкулез почки

Сообщение super45 »

и видео
Вложения
Фильм1.wmv
(576.46 КБ) 94 скачивания
Фильм3.wmv
(233.86 КБ) 78 скачиваний
Фильм2.wmv
(538.39 КБ) 73 скачивания
Аватара пользователя
KsV
Администратор
Сообщения: 2191
Зарегистрирован: 22 фев 2009, 13:38
Откуда: Беларусь-Lietuva
Контактная информация:

Re: Туберкулез почки

Сообщение KsV »

Ну вот, наконец.
Видим длительно существующий гидронефроз вследствие процесса в области лоханочно-мочеточникового сегмента (видео 1), с утолщением стенок ЧЛС и истончением паренхимы почки - наиболее частая причина у взрослых - туберкулез.
snapshot_00.jpg



а картинка у "китайца" непротивная...
Аватара пользователя
dok333
Сообщения: 142
Зарегистрирован: 29 окт 2010, 09:59
Откуда: Ukraine,Kharkiv
Контактная информация:

Re: Туберкулез почки

Сообщение dok333 »

KsV писал(а):
а картинка у "китайца" непротивная...
работал раньше на Sonoscape SSI-5000, так по внутренним органам вообще приятная глазу картинка. "мягкая" с минимумом "шумов". Хорошо видно в общем)
Ответить

Вернуться в «Уронефрологические исследования»

Кто сейчас на конференции

Сейчас этот форум просматривают: нет зарегистрированных пользователей и 1 гость