Расслаивающая аневризма аорты, Дебейки I

Аорта и НПВ. Периферические артерии и вены.
Только верифицированые изображения
Ответить
Аватара пользователя
KsV
Администратор
Сообщения: 2191
Зарегистрирован: 22 фев 2009, 13:38
Откуда: Беларусь-Lietuva
Контактная информация:

Расслаивающая аневризма аорты, Дебейки I

Сообщение KsV »

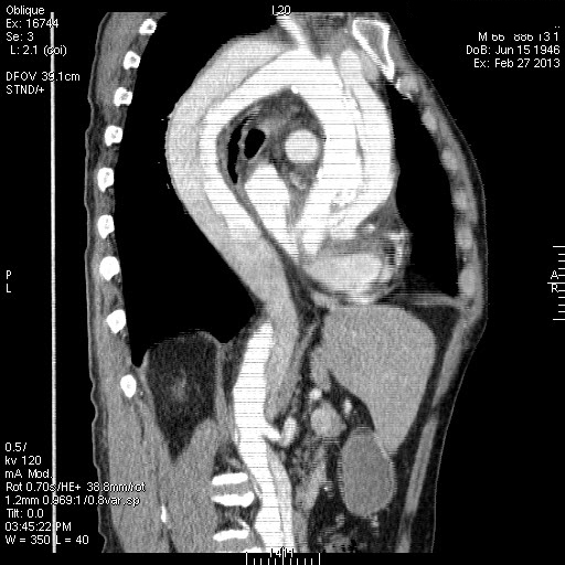
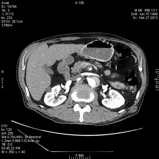
Пожилой пациент с жалобами на боли в грудной клетке. Болеет неделю.

phpBB [video]
Serg
Сообщения: 252
Зарегистрирован: 15 июн 2011, 20:52
Контактная информация:

Re: УЗИ живота

Сообщение Serg »

правожелудочковая недостаточность?
Аватара пользователя
valeriy.andilevko
Сообщения: 194
Зарегистрирован: 01 мар 2011, 19:34
Откуда: Витебск
Контактная информация:

Re: УЗИ живота

Сообщение valeriy.andilevko »

Диссекция аорты
Аватара пользователя
KsV
Администратор
Сообщения: 2191
Зарегистрирован: 22 фев 2009, 13:38
Откуда: Беларусь-Lietuva
Контактная информация:

Re: УЗИ живота

Сообщение KsV »

phpBB [video]


phpBB [video]

se007.jpg
se009.jpg
Аватара пользователя
valeriy.andilevko
Сообщения: 194
Зарегистрирован: 01 мар 2011, 19:34
Откуда: Витебск
Контактная информация:

Re: УЗИ живота

Сообщение valeriy.andilevko »

Диссекция аорты 1 типа по DeBakey , Стенфорд А .
Serg
Сообщения: 252
Зарегистрирован: 15 июн 2011, 20:52
Контактная информация:

Re: УЗИ живота

Сообщение Serg »

крут :? :? о, у меня фантазии не хватило
Ответить

Вернуться в «Cосуды»

Кто сейчас на конференции

Сейчас этот форум просматривают: нет зарегистрированных пользователей и 0 гостей