образование селезенки
- KsV
- Администратор
- Сообщения: 2189
- Зарегистрирован: 22 фев 2009, 13:38
- Откуда: Беларусь-Lietuva
- Контактная информация:
Re: образование селезенки
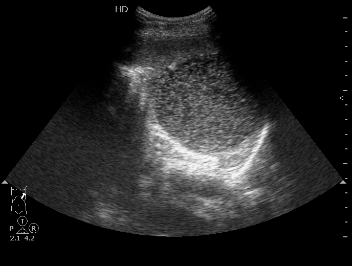
Удивительно, но факт - вчера к нам поступила такая-же "селезенка".
В нашем случае - это кистозное образование - при изменении положения тела происходит перемешивание жидкости внутри
В анамнезе у девушки была травма и перелом поясничного позвонка.
Жду когда хирурги предложат его задренировать.
В нашем случае - это кистозное образование - при изменении положения тела происходит перемешивание жидкости внутри
В анамнезе у девушки была травма и перелом поясничного позвонка.
Жду когда хирурги предложат его задренировать.
- KsV
- Администратор
- Сообщения: 2189
- Зарегистрирован: 22 фев 2009, 13:38
- Откуда: Беларусь-Lietuva
- Контактная информация:
Re: образование селезенки
Cystic lesions of the spleen
Dr Yuranga Weerakkody and Dr Frank Gaillard et al. view revision history -
http://radiopaedia.org/articles/cystic- ... e-spleen-1
The differential for a cystic lesion of the spleen is relatively limited and includes:
congenital (tend to be unilocular in a majority of cases)
epidermoid cyst
cystic lymphangioma
cystic haemangioma
post traumatic 'false' cyst
infection
hydatid disease
bacterial abscess
cystic splenic metastases
intrasplenic pancreatic pseudocyst
Dr Yuranga Weerakkody and Dr Frank Gaillard et al. view revision history -
http://radiopaedia.org/articles/cystic- ... e-spleen-1
The differential for a cystic lesion of the spleen is relatively limited and includes:
congenital (tend to be unilocular in a majority of cases)
epidermoid cyst
cystic lymphangioma
cystic haemangioma
post traumatic 'false' cyst
infection
hydatid disease
bacterial abscess
cystic splenic metastases
intrasplenic pancreatic pseudocyst
- dok333
- Сообщения: 142
- Зарегистрирован: 29 окт 2010, 09:59
- Откуда: Ukraine,Kharkiv
- Контактная информация:
Re: образование селезенки
"Это становится интересным" © робот Вертер.
Рекомендовал КТ. Попробую узнать результат
Рекомендовал КТ. Попробую узнать результат
- KsV
- Администратор
- Сообщения: 2189
- Зарегистрирован: 22 фев 2009, 13:38
- Откуда: Беларусь-Lietuva
- Контактная информация:
Re: образование селезенки
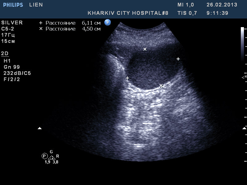
Сегодня задренировал, содержимое - см. фото
Цитология: белковый преципитат, большое количество эритроцитов, лейкоцитов 5-8 в поле зрения.
Таким образом, видимо, в нашем случае это посттравматическая киста.
Цитология: белковый преципитат, большое количество эритроцитов, лейкоцитов 5-8 в поле зрения.
Таким образом, видимо, в нашем случае это посттравматическая киста.
Re: образование селезенки
Киста селезенки- и такое бывает.
- KsV
- Администратор
- Сообщения: 2189
- Зарегистрирован: 22 фев 2009, 13:38
- Откуда: Беларусь-Lietuva
- Контактная информация:
Re: образование селезенки
Дренаж удален на 4-й день, через трое суток при контрольном УЗИ - киста прежних размеров.
- valeriy.andilevko
- Сообщения: 194
- Зарегистрирован: 01 мар 2011, 19:34
- Откуда: Витебск
- Контактная информация:
Re: образование селезенки
Этанол в полость не вводили?KsV писал(а):Дренаж удален на 4-й день, через трое суток при контрольном УЗИ - киста прежних размеров.
- KsV
- Администратор
- Сообщения: 2189
- Зарегистрирован: 22 фев 2009, 13:38
- Откуда: Беларусь-Lietuva
- Контактная информация:
Re: образование селезенки
Нет, хирурги решили ограничиться только дренированием.
- valeriy.andilevko
- Сообщения: 194
- Зарегистрирован: 01 мар 2011, 19:34
- Откуда: Витебск
- Контактная информация:
Re: образование селезенки
Повод для размышлений:http://radiographia.ru/node/8054
Кто сейчас на конференции
Сейчас этот форум просматривают: нет зарегистрированных пользователей и 0 гостей