образование левого желудочка(вероятно миксома).

Сердце.
Только верифицированые изображения

Модератор: dok333

Ответить
Аватара пользователя
dok333
Сообщения: 142
Зарегистрирован: 29 окт 2010, 09:59
Откуда: Ukraine,Kharkiv
Контактная информация:

образование левого желудочка(вероятно миксома).

Сообщение dok333 »

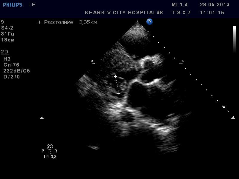
Пациентка 83 лет. Жалобы на сильную одышку в теч. последнего месяца.
В полости левого желудочка в базальном сегменте имеется образование с неровным контуром до 2.4см- вероятно миксома левого желудочка.
кальциноз створок АК, дилатация левого предсердия, правых полостей, выраженная недостаточность ТК и клапана ЛА, гипертрофия левого желудочка. Дополнительные косые хорды левого желудочка. Высокая ЛГ (АТ/ЕТ- 0.20 Рсред. ЛА-69мм рт.ст.).

п.с. Инсультов в анамнезе нет


phpBB [video]

phpBB [video]

phpBB [video]

phpBB [video]

phpBB [video]

phpBB [video]
Вложения
1.jpg
2.jpg
4.jpg
3.BMP.jpg
5.jpg
Аватара пользователя
KsV
Администратор
Сообщения: 2189
Зарегистрирован: 22 фев 2009, 13:38
Откуда: Беларусь-Lietuva
Контактная информация:

Re: образование левого желудочка(вероятно миксома).

Сообщение KsV »

Супер.
Вот интересно, всё-таки, существуют ли признаки, позволяющие надежный дифдиагноз сгусток vs опухоль?
Аватара пользователя
dok333
Сообщения: 142
Зарегистрирован: 29 окт 2010, 09:59
Откуда: Ukraine,Kharkiv
Контактная информация:

Re: образование левого желудочка(вероятно миксома).

Сообщение dok333 »

точно, время и тромболитики)
Точных критериев различия не встречал в литературе.
Отталкиваюсь от локализации, анемнеза и внешнего вида)
Ответить

Вернуться в «Кардиологические исследования»

Кто сейчас на конференции

Сейчас этот форум просматривают: нет зарегистрированных пользователей и 0 гостей