Митральный стеноз

Сердце.
Только верифицированые изображения

Модератор: dok333

Ответить
Аватара пользователя
dok333
Сообщения: 142
Зарегистрирован: 29 окт 2010, 09:59
Откуда: Ukraine,Kharkiv
Контактная информация:

Митральный стеноз

Сообщение dok333 »

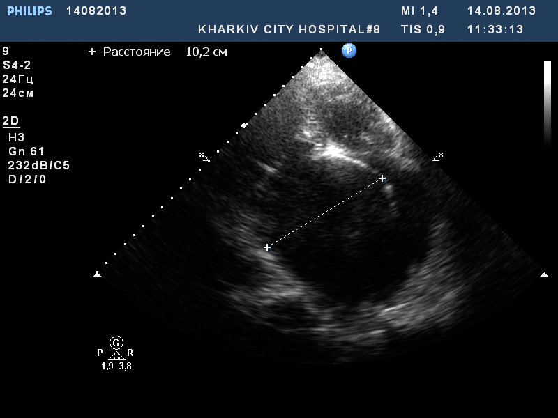
Только что смотрел пациентку 82 года. Не было много времени, потому немного видео и фото. Удивил размер левого предсердия - 10.см.

В полости ЛП визуализируется спонтанное контрастирование тока крови.

phpBB [video]


phpBB [video]
Вложения
1.jpg
2.jpg
Брехт
Сообщения: 99
Зарегистрирован: 16 июн 2009, 08:13
Контактная информация:

Re: Митральный стеноз

Сообщение Брехт »

Это точно левое предсердие?
Аватара пользователя
dok333
Сообщения: 142
Зарегистрирован: 29 окт 2010, 09:59
Откуда: Ukraine,Kharkiv
Контактная информация:

Re: Митральный стеноз

Сообщение dok333 »

100 %.

Я смотрю в зеркальном отображении (не классически) . Левый желудочек по левую руку, правый по правую. Кстати правое предсердие в 10 см я не видел. А вы что подумали?
Брехт
Сообщения: 99
Зарегистрирован: 16 июн 2009, 08:13
Контактная информация:

Re: Митральный стеноз

Сообщение Брехт »

Спросил из-за толщины стенки ПЖ и уровня отхождения створок МК и ТК
Аватара пользователя
dok333
Сообщения: 142
Зарегистрирован: 29 окт 2010, 09:59
Откуда: Ukraine,Kharkiv
Контактная информация:

Re: Митральный стеноз

Сообщение dok333 »

Уровень отхождения створок стандартный. Просто из-за растянутого ЛП выглядит "необычно". Но и такой размер ЛП тоже "необычный".
Ответить

Вернуться в «Кардиологические исследования»

Кто сейчас на конференции

Сейчас этот форум просматривают: нет зарегистрированных пользователей и 0 гостей