желчный пузырь
- dok333
- Сообщения: 142
- Зарегистрирован: 29 окт 2010, 09:59
- Откуда: Ukraine,Kharkiv
- Контактная информация:
желчный пузырь
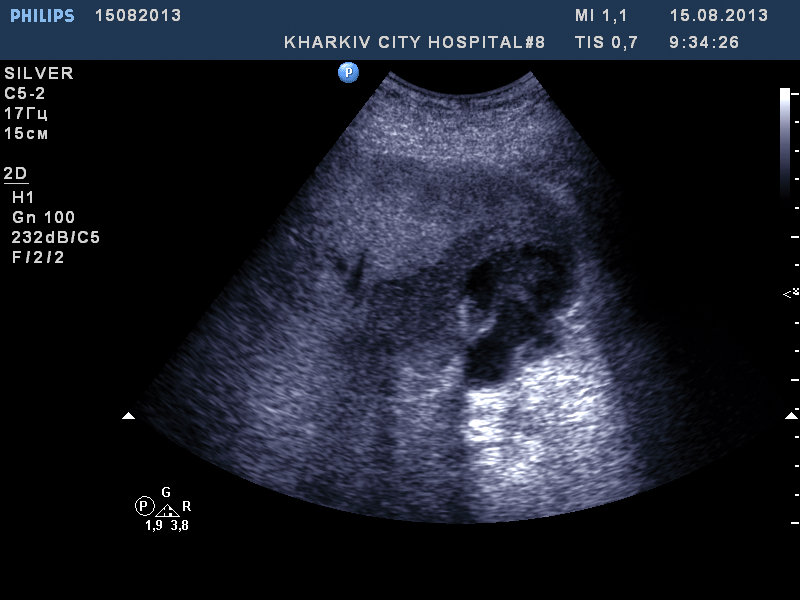
Пациент 63 лет. доставлен в клинику с фибр.предсердий. Ритм восстановили. Температура до 40 (свечками). сОЭ 60 .Жалобы на тупую разлитую боль в правом подреберье.
При проведении узи:
Желчный пузырь типично расположен, деформирован, неровный нечеткий контур. Неоднородное содержимое. Конкремент в полости не лоцируется. У желчного пузыря множественные гипоэхогенные участки неровной формы с наличием жидкостного компонента.
Расцениваю как признаки острого холецистита, признаки перфорации желчного пузыря, признаки подпеченочного абсцесса. Нельзя исключить холедохолитиаз.
При проведении узи:
Желчный пузырь типично расположен, деформирован, неровный нечеткий контур. Неоднородное содержимое. Конкремент в полости не лоцируется. У желчного пузыря множественные гипоэхогенные участки неровной формы с наличием жидкостного компонента.
Расцениваю как признаки острого холецистита, признаки перфорации желчного пузыря, признаки подпеченочного абсцесса. Нельзя исключить холедохолитиаз.
Re: желчный пузырь
почему нельзя исключить холедохолитиаз?
- dok333
- Сообщения: 142
- Зарегистрирован: 29 окт 2010, 09:59
- Откуда: Ukraine,Kharkiv
- Контактная информация:
Re: желчный пузырь
мои мысли вслух) предположение. конкремент в холедохе не видел. А Вы что думаете?
- KsV
- Администратор
- Сообщения: 2191
- Зарегистрирован: 22 фев 2009, 13:38
- Откуда: Беларусь-Lietuva
- Контактная информация:
Re: желчный пузырь
Соглашусь, похоже на острый деструктивный холецистит, паравезикальный абсцесс. Четко видна дыра в стенке пузыря.
Хотелось бы посмотреть пузырь в поперечном скане со стороны дна - определиться четче с расположением пузыря и абсцесса.
Хотелось бы посмотреть пузырь в поперечном скане со стороны дна - определиться четче с расположением пузыря и абсцесса.
- dok333
- Сообщения: 142
- Зарегистрирован: 29 окт 2010, 09:59
- Откуда: Ukraine,Kharkiv
- Контактная информация:
Re: желчный пузырь
нет такого скана. В след.раз буду делать.
p.s. спасибо мэтру KSV)
p.s. спасибо мэтру KSV)
Последний раз редактировалось dok333 15 авг 2013, 11:50, всего редактировалось 1 раз.
- KsV
- Администратор
- Сообщения: 2191
- Зарегистрирован: 22 фев 2009, 13:38
- Откуда: Беларусь-Lietuva
- Контактная информация:
Re: желчный пузырь
Кстати, не вижу камней в пузыре, - как вариант - деструкция/некроз ж. пузыря вследствие тромбоза пузырной артерии, подпеченочный абсцесс.
Но стратегически это ничего не меняет.
Но стратегически это ничего не меняет.
Re: желчный пузырь
dok333 писал(а):мои мысли вслух) предположение. конкремент в холедохе не видел. А Вы что думаете?
я думаю, что если не видим, то надо указать - конкременты не лоцированы..а вот если видим что то в просвете, но не можем определиться, тогда и возможно -"нельзя исключить холедохолитиаз". Как считаете?
- KsV
- Администратор
- Сообщения: 2191
- Зарегистрирован: 22 фев 2009, 13:38
- Откуда: Беларусь-Lietuva
- Контактная информация:
Re: желчный пузырь
В протоколе - описании исследования - описываем то что видим, а также указываем причину возможного ограничения исследования. Иногда, когда клиницист указывает цель исследования - отвечаем на его вопрос, описывем зону его интереса.
Заключение является квинтэссенцией исследования, должно логически следовать из данных протокола.
В данном случае, поскольку мы не видим состояния холедоха и наличие камней в нём, то писать об этом в заключении не верно. Но описать состояние внутрипеченочных желчных протоков, написать что "область ворот печени, зона шейки пузыря, холедоха выдны плохо" имхо нкобходимо - для того чтобы объясниться почему не описан холедох или не найден вклиненный в шейке пузыря конкремент.
Тема формирования протокола и заключения очень важна, именно от этого зависит степень доверия в связке диагност-клиницист.
Заключение является квинтэссенцией исследования, должно логически следовать из данных протокола.
В данном случае, поскольку мы не видим состояния холедоха и наличие камней в нём, то писать об этом в заключении не верно. Но описать состояние внутрипеченочных желчных протоков, написать что "область ворот печени, зона шейки пузыря, холедоха выдны плохо" имхо нкобходимо - для того чтобы объясниться почему не описан холедох или не найден вклиненный в шейке пузыря конкремент.
Тема формирования протокола и заключения очень важна, именно от этого зависит степень доверия в связке диагност-клиницист.
- dok333
- Сообщения: 142
- Зарегистрирован: 29 окт 2010, 09:59
- Откуда: Ukraine,Kharkiv
- Контактная информация:
Re: желчный пузырь
Указал что конкременты не выявлены. Но учитывая жалобы пациента что в течение как минимум полугода беспокоили боли справа в подреберье предположил наличие ЖКБ. А учитывая, что на момент осмотра в полости ЖП не увидел конремента\ов предположил холедохолитиаз. Возможно это лишнее творческое предположение.Serg писал(а):dok333 писал(а):мои мысли вслух) предположение. конкремент в холедохе не видел. А Вы что думаете?
я думаю, что если не видим, то надо указать - конкременты не лоцированы..а вот если видим что то в просвете, но не можем определиться, тогда и возможно -"нельзя исключить холедохолитиаз". Как считаете?
ок. логично.KsV писал(а): В данном случае, поскольку мы не видим состояния холедоха и наличие камней в нём, то писать об этом в заключении не верно.
Последний раз редактировалось dok333 16 авг 2013, 07:31, всего редактировалось 2 раза.
- KsV
- Администратор
- Сообщения: 2191
- Зарегистрирован: 22 фев 2009, 13:38
- Откуда: Беларусь-Lietuva
- Контактная информация:
Re: желчный пузырь
Пока все нормально, все предположения и выводы сделаны "по делу".
Думаю, что хирурги с учётом уикенда тянуть не должны и диагноз может быть известен уже сегодня.
По крайней мере, я бы задренировал всё это дело.
Думаю, что хирурги с учётом уикенда тянуть не должны и диагноз может быть известен уже сегодня.
По крайней мере, я бы задренировал всё это дело.
Кто сейчас на конференции
Сейчас этот форум просматривают: нет зарегистрированных пользователей и 0 гостей