УЗИ почек - туберозный склероз

Почки, мочеточники, мочевой пузырь, уретра. Простата и яички.

Модератор: KsV

Ответить
Аватара пользователя
KsV
Администратор
Сообщения: 2191
Зарегистрирован: 22 фев 2009, 13:38
Откуда: Беларусь-Lietuva
Контактная информация:

УЗИ почек - туберозный склероз

Сообщение KsV »

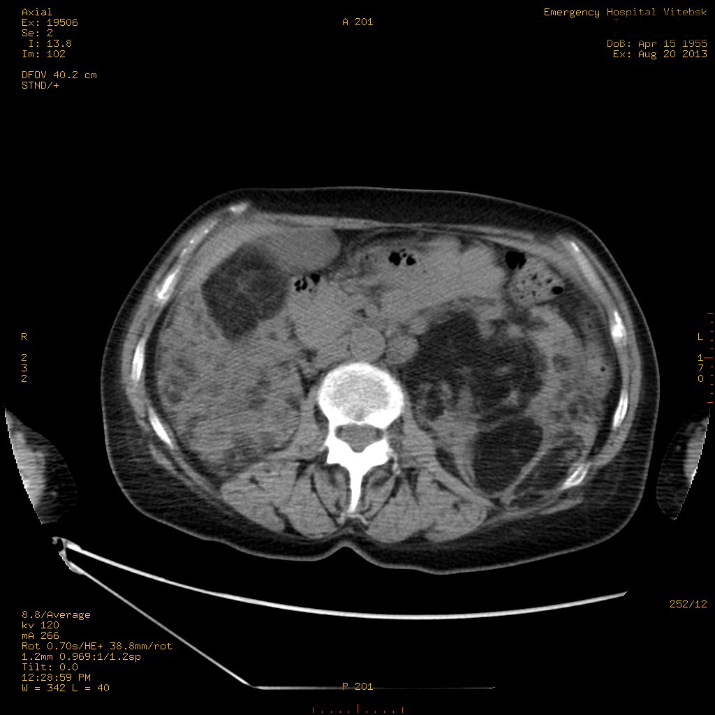
Пожилая женщина с нормальными мочевиной и креатинином.

Правая почка, right kidney

Продольное сканирование, конвексный датчик 3.5МГц
phpBB [video]


Поперечное сканирование, линейный датчик 7.5МГц
phpBB [video]



Левая почка, left kidney

Продольное сканирование, конвексный датчик 3.5МГц
phpBB [video]


Поперечное сканирование, линейный датчик 7.5МГц
phpBB [video]


se000.jpg
se001.jpg
se002.jpg
se003.jpg
se004.jpg
se005.jpg
se006.jpg
se007.jpg
se008.jpg
se009.jpg
se010.jpg
se011.jpg
se012.jpg
se013.jpg
se015.jpg
Вложения
se014.jpg
Аватара пользователя
KsV
Администратор
Сообщения: 2191
Зарегистрирован: 22 фев 2009, 13:38
Откуда: Беларусь-Lietuva
Контактная информация:

Re: УЗИ почек

Сообщение KsV »

Перенесено из "Консультаций" в "Загадки".
Аватара пользователя
valeriy.andilevko
Сообщения: 194
Зарегистрирован: 01 мар 2011, 19:34
Откуда: Витебск
Контактная информация:

Re: УЗИ почек

Сообщение valeriy.andilevko »

Ангиомиолипоматоз почек , думаю компонент туберозного склероза.
Аватара пользователя
KsV
Администратор
Сообщения: 2191
Зарегистрирован: 22 фев 2009, 13:38
Откуда: Беларусь-Lietuva
Контактная информация:

Re: УЗИ почек

Сообщение KsV »

Да, туберозный склероз.
Случай консультирован на кафедре радиологии Католического университета г.Лёвен (Бельгия) - зав каф. профессор Р.Оуен.
Ответить

Вернуться в «Уронефрологические исследования»

Кто сейчас на конференции

Сейчас этот форум просматривают: нет зарегистрированных пользователей и 0 гостей