Киста, симулирующая гидрокаликоз

Почки, мочеточники, мочевой пузырь, уретра. Простата и яички.

Модератор: KsV

Ответить

Гидрокаликоз или киста?

Опрос закончился 28 июл 2014, 10:18

Расширение чашечки
0
Голосов нет
Киста
1
50%
Дивертикул чашечки
1
50%
 
Всего голосов: 2

Аватара пользователя
KsV
Администратор
Сообщения: 2191
Зарегистрирован: 22 фев 2009, 13:38
Откуда: Беларусь-Lietuva
Контактная информация:

Киста, симулирующая гидрокаликоз

Сообщение KsV »

jul232014100551_8.jpg
Через 5 дней выложу урограммы.
Аватара пользователя
valeriy.andilevko
Сообщения: 194
Зарегистрирован: 01 мар 2011, 19:34
Откуда: Витебск
Контактная информация:

Re: Гидрокаликоз или киста?

Сообщение valeriy.andilevko »

У меня - не голосуется. Я за дивертикул чашечки.
Аватара пользователя
KsV
Администратор
Сообщения: 2191
Зарегистрирован: 22 фев 2009, 13:38
Откуда: Беларусь-Lietuva
Контактная информация:

Re: Гидрокаликоз или киста?

Сообщение KsV »

valeriy.andilevko писал(а):У меня - не голосуется. Я за дивертикул чашечки.
Добавил
Проверил
Serg
Сообщения: 252
Зарегистрирован: 15 июн 2011, 20:52
Контактная информация:

Re: Гидрокаликоз или киста?

Сообщение Serg »

как по статичной эхограмме отличить дивертикул от кисты?
Аватара пользователя
KsV
Администратор
Сообщения: 2191
Зарегистрирован: 22 фев 2009, 13:38
Откуда: Беларусь-Lietuva
Контактная информация:

Re: Гидрокаликоз или киста?

Сообщение KsV »

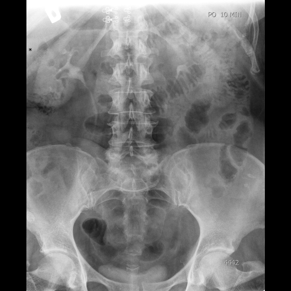
Обзорная
Обзорная
10 мин
10 мин
20 мин
20 мин
Аватара пользователя
valeriy.andilevko
Сообщения: 194
Зарегистрирован: 01 мар 2011, 19:34
Откуда: Витебск
Контактная информация:

Re: Гидрокаликоз или киста?

Сообщение valeriy.andilevko »

Для меня яснее не стало - делал бы отсроченные урограммы.
Аватара пользователя
admin
Администратор
Сообщения: 18
Зарегистрирован: 22 фев 2009, 20:35
Контактная информация:

Re: Гидрокаликоз или киста?

Сообщение admin »

А смысл?
Киста имхо очевидна. Без связи с чашкой.
Ответить

Вернуться в «Уронефрологические исследования»

Кто сейчас на конференции

Сейчас этот форум просматривают: нет зарегистрированных пользователей и 1 гость