Образование в правой почке
Модератор: KsV
- KsV
- Администратор
- Сообщения: 2191
- Зарегистрирован: 22 фев 2009, 13:38
- Откуда: Беларусь-Lietuva
- Контактная информация:
Образование в правой почке
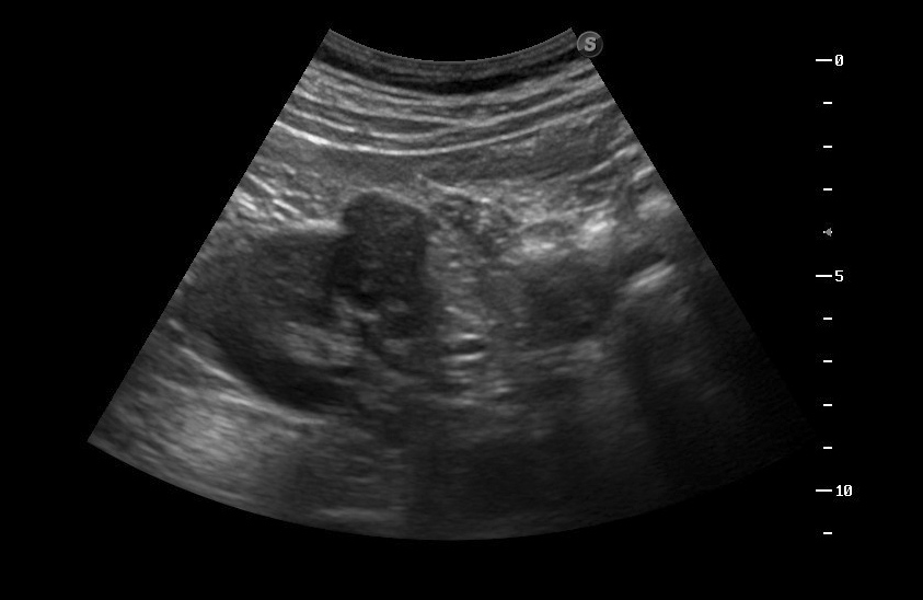
Мужчина средних лет.Жалоб не предъявляет.
С его слов, 10 лет назад в правой почке находили кисту.
Сканер Sonoscape S40
Aloka alpha 6
Ваше мнение?
С его слов, 10 лет назад в правой почке находили кисту.
Сканер Sonoscape S40
Aloka alpha 6
Ваше мнение?
- valeriy.andilevko
- Сообщения: 194
- Зарегистрирован: 01 мар 2011, 19:34
- Откуда: Витебск
- Контактная информация:
Re: Образование в правой почке
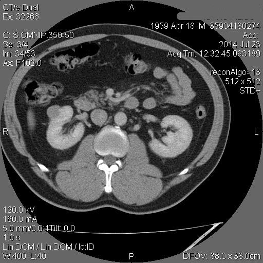
Рак - на первом месте. Показано КТ с контрастирванием.
Re: Образование в правой почке
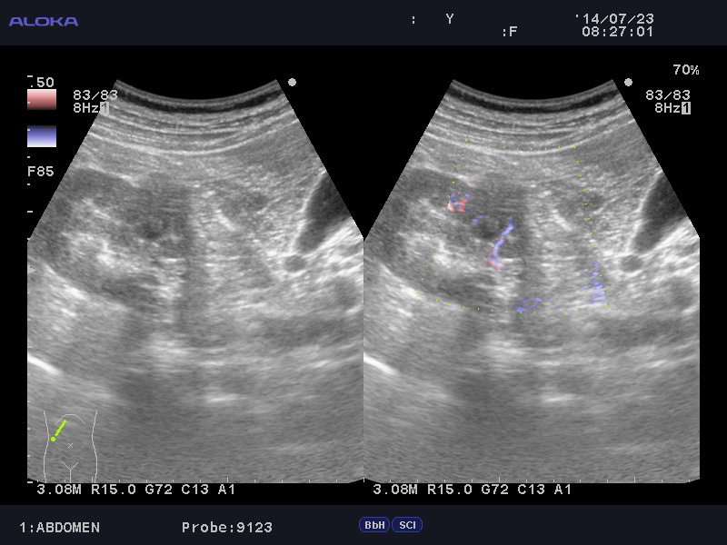
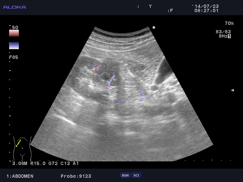
гипоэхогенное образование в среднем сегменте, деформирующее контур почки...наверное рак 
- KsV
- Администратор
- Сообщения: 2191
- Зарегистрирован: 22 фев 2009, 13:38
- Откуда: Беларусь-Lietuva
- Контактная информация:
Re: Образование в правой почке
Ответ каунасских радиологов - киста почки.
Пока оставляю случай на контроле.
Пока оставляю случай на контроле.
Re: Образование в правой почке
Что-то на узи на кисту не похоже...
- KsV
- Администратор
- Сообщения: 2191
- Зарегистрирован: 22 фев 2009, 13:38
- Откуда: Беларусь-Lietuva
- Контактная информация:
Re: Образование в правой почке
В том то и дело. Но тем не менее - это киста, анамнез уже несколько лет.besliu писал(а):Что-то на узи на кисту не похоже...
Re: Образование в правой почке
Кровотока ни грамма- Киста
- KsV
- Администратор
- Сообщения: 2191
- Зарегистрирован: 22 фев 2009, 13:38
- Откуда: Беларусь-Lietuva
- Контактная информация:
Re: Образование в правой почке
Динамики нет, на последнем видео четко видна киста при включенной 2й гармонике
Кто сейчас на конференции
Сейчас этот форум просматривают: нет зарегистрированных пользователей и 0 гостей