Необычная ангиомиолипома почки

Почки, мочеточники, мочевой пузырь, уретра. Простата и яички.

Модератор: KsV

Ответить
Аватара пользователя
KsV
Администратор
Сообщения: 2191
Зарегистрирован: 22 фев 2009, 13:38
Откуда: Беларусь-Lietuva
Контактная информация:

Необычная ангиомиолипома почки

Сообщение KsV »

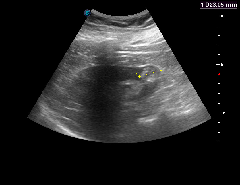
Женщина 55 лет, жалоб нет.
В нижнем полюсе правой почки обнаружено такое образование.
Немного похоже на AML, но неоднородное по структуре и с внутренним кровотоком, характеристики которого не в пользу RCC. Нет гипоэхогенного ободка, как при RCC.

Понятно, что тактически следующим этапом должна быть морфологическая оценка, но есть возможность в течение некоторого времени погадать, что это за образование.
feb262015144730_7.jpg
phpBB [video]


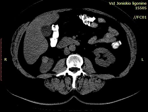
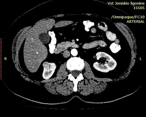
Выполнена КТ с контрастированием.
Pcfip0c.jpeg
64myZFZ.jpeg
O4JqyLr.jpeg
Аватара пользователя
KsV
Администратор
Сообщения: 2191
Зарегистрирован: 22 фев 2009, 13:38
Откуда: Беларусь-Lietuva
Контактная информация:

Re: Тумор правой почки

Сообщение KsV »

Гистология - ангиомиолипома (выполнена резекция опухоли).
Ответить

Вернуться в «Уронефрологические исследования»

Кто сейчас на конференции

Сейчас этот форум просматривают: нет зарегистрированных пользователей и 0 гостей