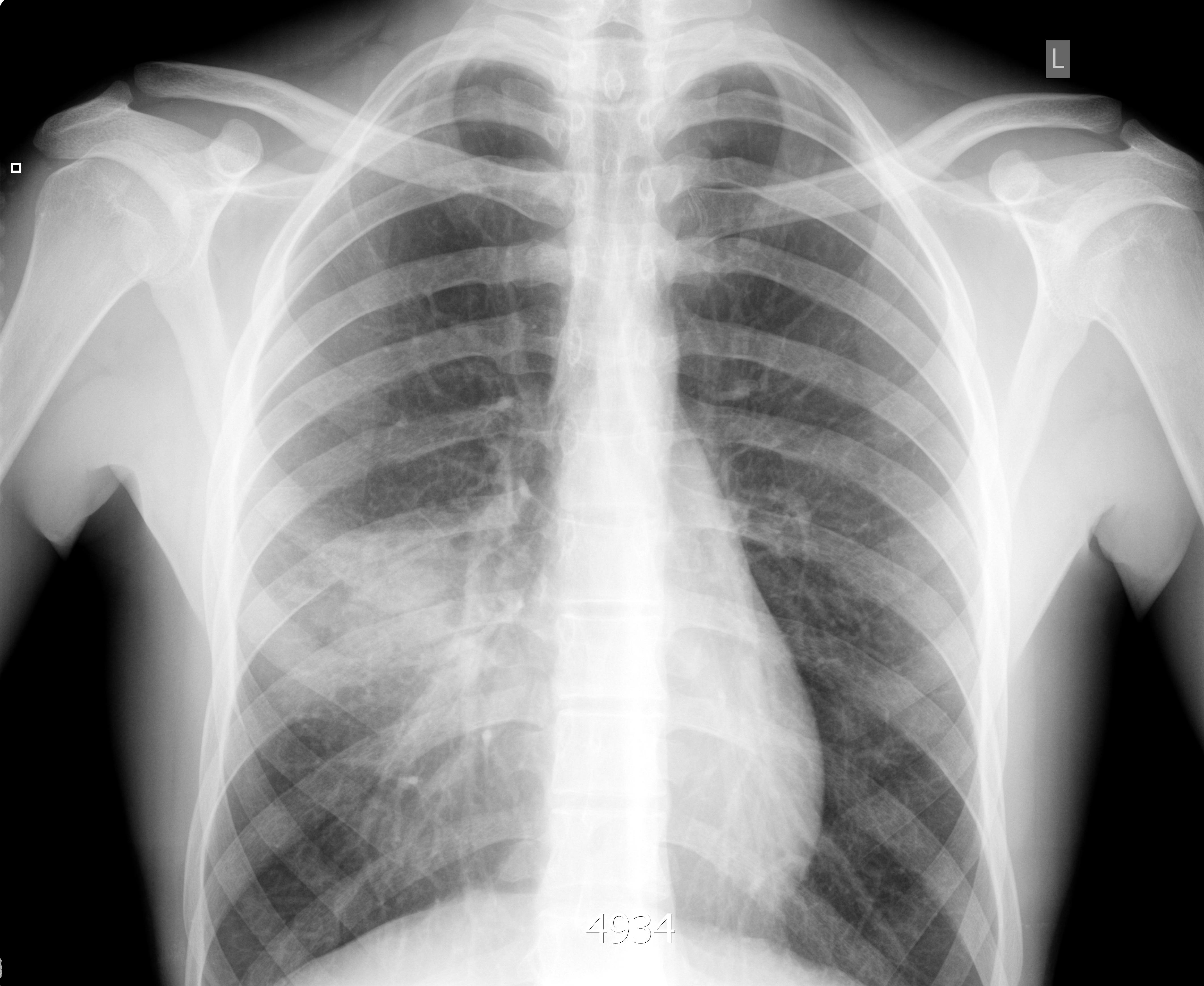
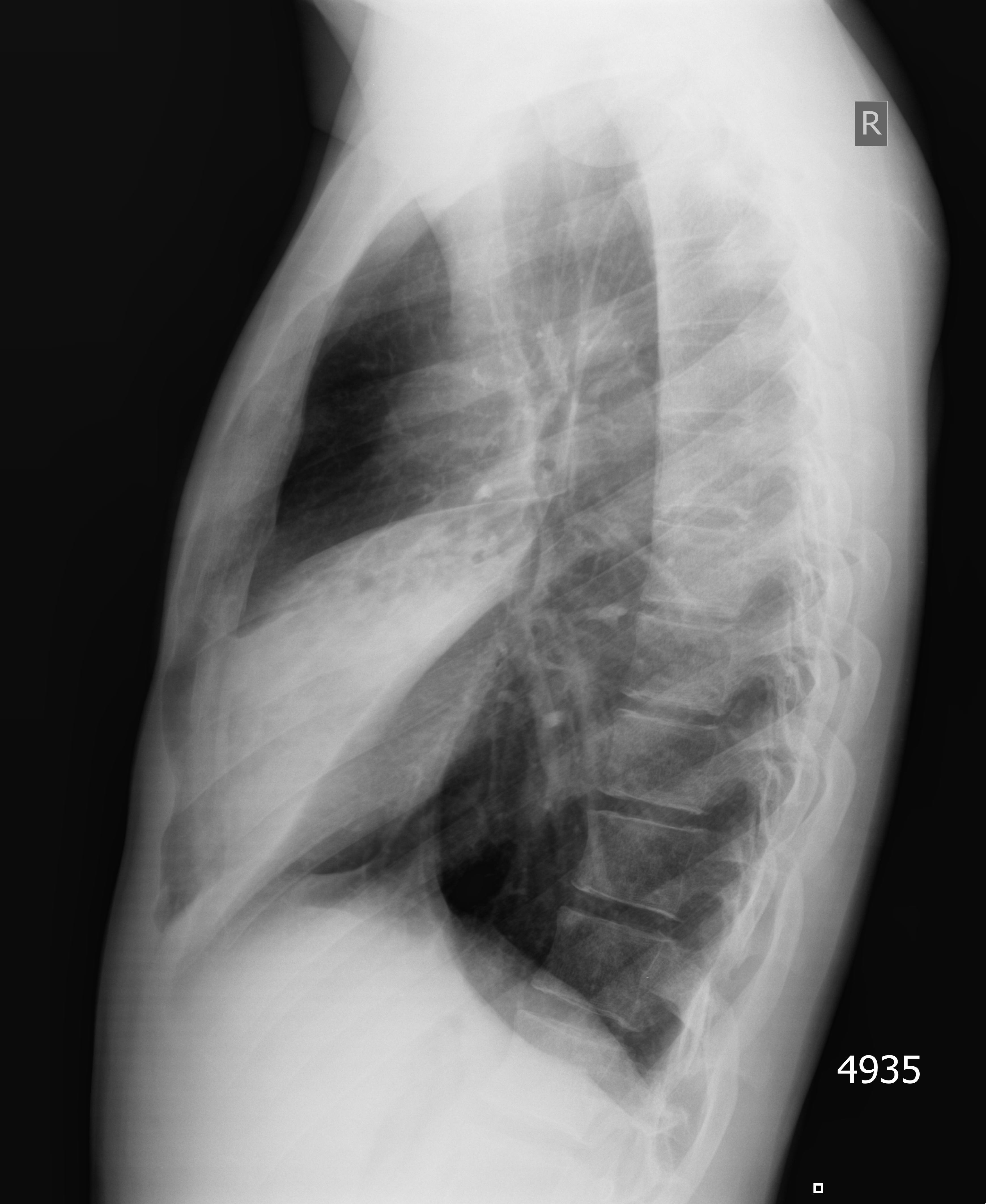
Правостороння пневмония, УЗИ и рентген

Только верифицированые изображения
Ответить
Аватара пользователя
KsV
Администратор
Сообщения: 2191
Зарегистрирован: 22 фев 2009, 13:38
Откуда: Беларусь-Lietuva
Контактная информация:

Правостороння пневмония, УЗИ и рентген

Сообщение KsV »

Молодой парень. Высокая температура, сухой кашель.

Датчик по правой средней линии спереди смещается с грудной клетки в брюшную полость.

phpBB [video]

IMG-0001-00001.jpg
IMG-0002-00001.jpg
Ответить

Вернуться в «Легкие, грудная клетка»

Кто сейчас на конференции

Сейчас этот форум просматривают: нет зарегистрированных пользователей и 0 гостей