образование в печени

Печень, желчный пузырь, поджелудочная железа, селезенка. Кишечник.
Изображения для консультации
Ответить
siamion
Сообщения: 3
Зарегистрирован: 15 июл 2015, 19:28
Контактная информация:

образование в печени

Сообщение siamion »

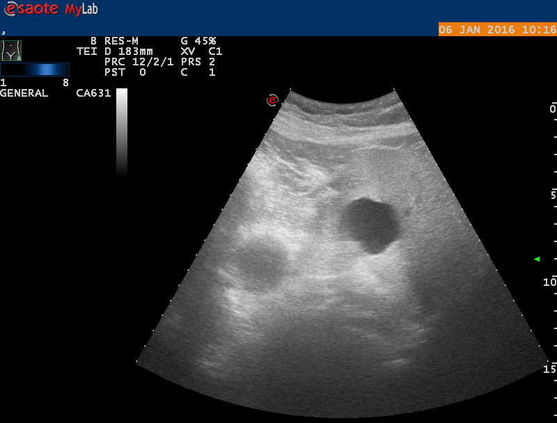
женщина 65лет жалобы на боли в эпигастрии помогите разобраться что это
женщина 65лет жалобы на боли в эпигастрии помогите разобраться что это
phpBB [video]
Аватара пользователя
KsV
Администратор
Сообщения: 2191
Зарегистрирован: 22 фев 2009, 13:38
Откуда: Беларусь-Lietuva
Контактная информация:

Re: образование в печени

Сообщение KsV »

Похоже на простую кисту.
besliu
Сообщения: 142
Зарегистрирован: 11 окт 2009, 08:31
Контактная информация:

Re: образование в печени

Сообщение besliu »

Киста,похоже.Жаль,что нет скана с поджелудочной,желчным.может там причина болей?
Ответить

Вернуться в «Абдоминальные исследования»

Кто сейчас на конференции

Сейчас этот форум просматривают: нет зарегистрированных пользователей и 2 гостя