Страница 1 из 1
УЗИ: рак почки, кистозная форма
Добавлено: 16 мар 2009, 11:01
KsV
Профилактический осмотр, жалоб не предъявляет.

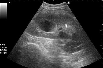
- Серошкальное УЗИ. В области нижнего полюса определяется образование сложной структуры (стрелка).

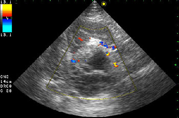
- Образование в режиме ЦДК.
Как трактовать выявленные изменения? Какова тактика врача УЗД в данной ситуации?
Re: Изменения правой почки у мужчины 42 лет
Добавлено: 30 мар 2009, 10:30
acustic
Например, это может быть участком кистозной дисплазии или тумором.
Re: Изменения правой почки у мужчины 42 лет
Добавлено: 13 апр 2009, 19:02
А.М.Шифрин
Уважаемые коллеги!
Я, все-таки, склоняюсь к кистозному варианту опухоли почки.
В плане рекомендаций - КТ, а затем пункционная биопсия под УЗ наведением.
С уважением, А. Шифрин
Re: Изменения правой почки у мужчины 42 лет
Добавлено: 14 апр 2009, 06:59
KsV
Да, это был рак почки, кистозная форма. Гистология - светлоклеточный рак.
В архив.