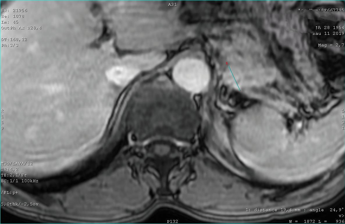
Опухоль хвоста панкреас

Печень, желчный пузырь, поджелудочная железа, селезенка. Кишечник.
Изображения для консультации
Ответить
Аватара пользователя
KsV
Администратор
Сообщения: 2191
Зарегистрирован: 22 фев 2009, 13:38
Откуда: Беларусь-Lietuva
Контактная информация:

Опухоль хвоста панкреас

Сообщение KsV »

Пожилой мужчина. Жалоб не предъявляет.

phpBB [video]

qqx.jpg
www_LI.jpg
Аватара пользователя
KsV
Администратор
Сообщения: 2191
Зарегистрирован: 22 фев 2009, 13:38
Откуда: Беларусь-Lietuva
Контактная информация:

Re: Опухоль хвоста панкреас

Сообщение KsV »

Контрольное исследование через полгода - без динамики.
Аватара пользователя
KsV
Администратор
Сообщения: 2191
Зарегистрирован: 22 фев 2009, 13:38
Откуда: Беларусь-Lietuva
Контактная информация:

Re: Опухоль хвоста панкреас

Сообщение KsV »

При повторном исследовании отрицательной динамики нет.
Ответить

Вернуться в «Абдоминальные исследования»

Кто сейчас на конференции

Сейчас этот форум просматривают: нет зарегистрированных пользователей и 0 гостей