Опухоль ободочной кишки

Печень, желчный пузырь, поджелудочная железа, селезенка. Кишечник.
Только верифицированые изображения
Ответить
Аватара пользователя
KsV
Администратор
Сообщения: 2189
Зарегистрирован: 22 фев 2009, 13:38
Откуда: Беларусь-Lietuva
Контактная информация:

Опухоль ободочной кишки

Сообщение KsV »

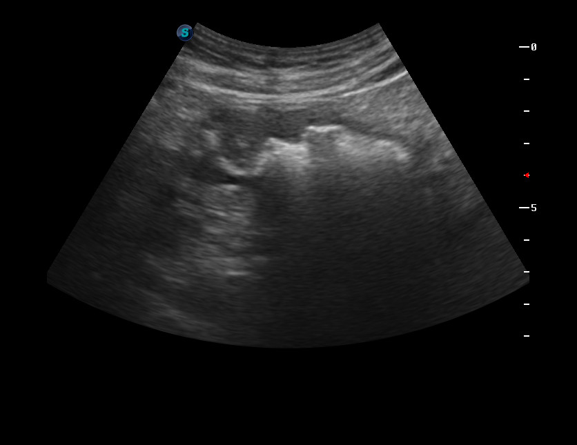
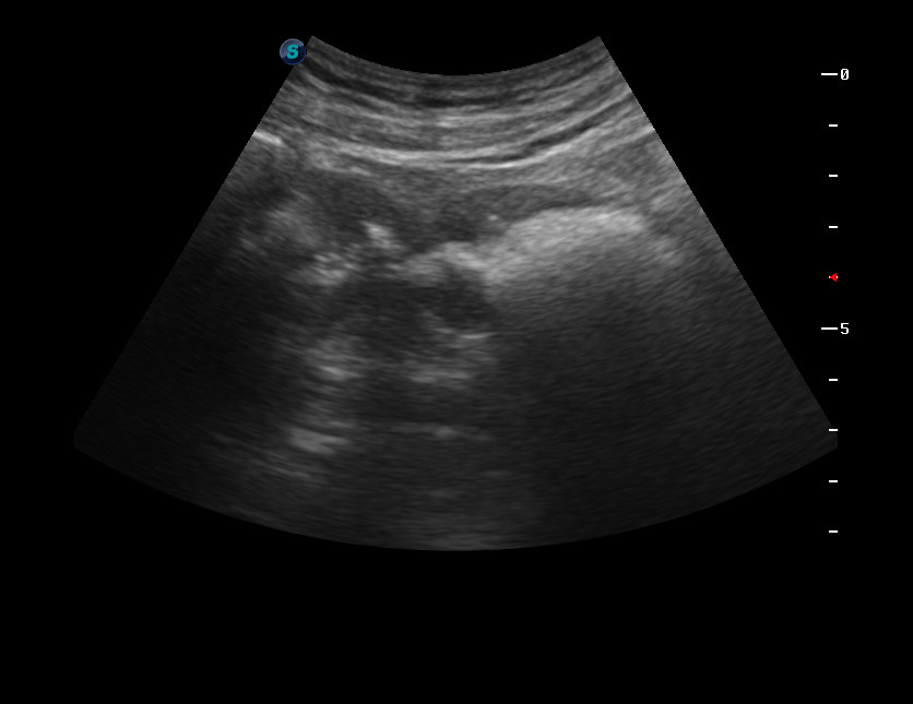
Дедушка 90 лет. Профилактическое обследование.
Выявлен сегмент толстой кишки с неравномерно утолщенными стенками.
После дообследование выполнена резекция толстой кишки, диагноз аденокарциномы подтвержден морфологически.
20181110_104444_10.jpg
20181110_104422_9.jpg
phpBB [video]
Ответить

Вернуться в «Абдоминальные исследования»

Кто сейчас на конференции

Сейчас этот форум просматривают: нет зарегистрированных пользователей и 0 гостей