#4 Перелом ребрa, костный мозоль. УЗИ. Rib fracture, sonography. Šonkaulio lūžis.

Только верифицированые изображения
Ответить
Аватара пользователя
KsV
Администратор
Сообщения: 2191
Зарегистрирован: 22 фев 2009, 13:38
Откуда: Беларусь-Lietuva
Контактная информация:

#4 Перелом ребрa, костный мозоль. УЗИ. Rib fracture, sonography. Šonkaulio lūžis.

Сообщение KsV »

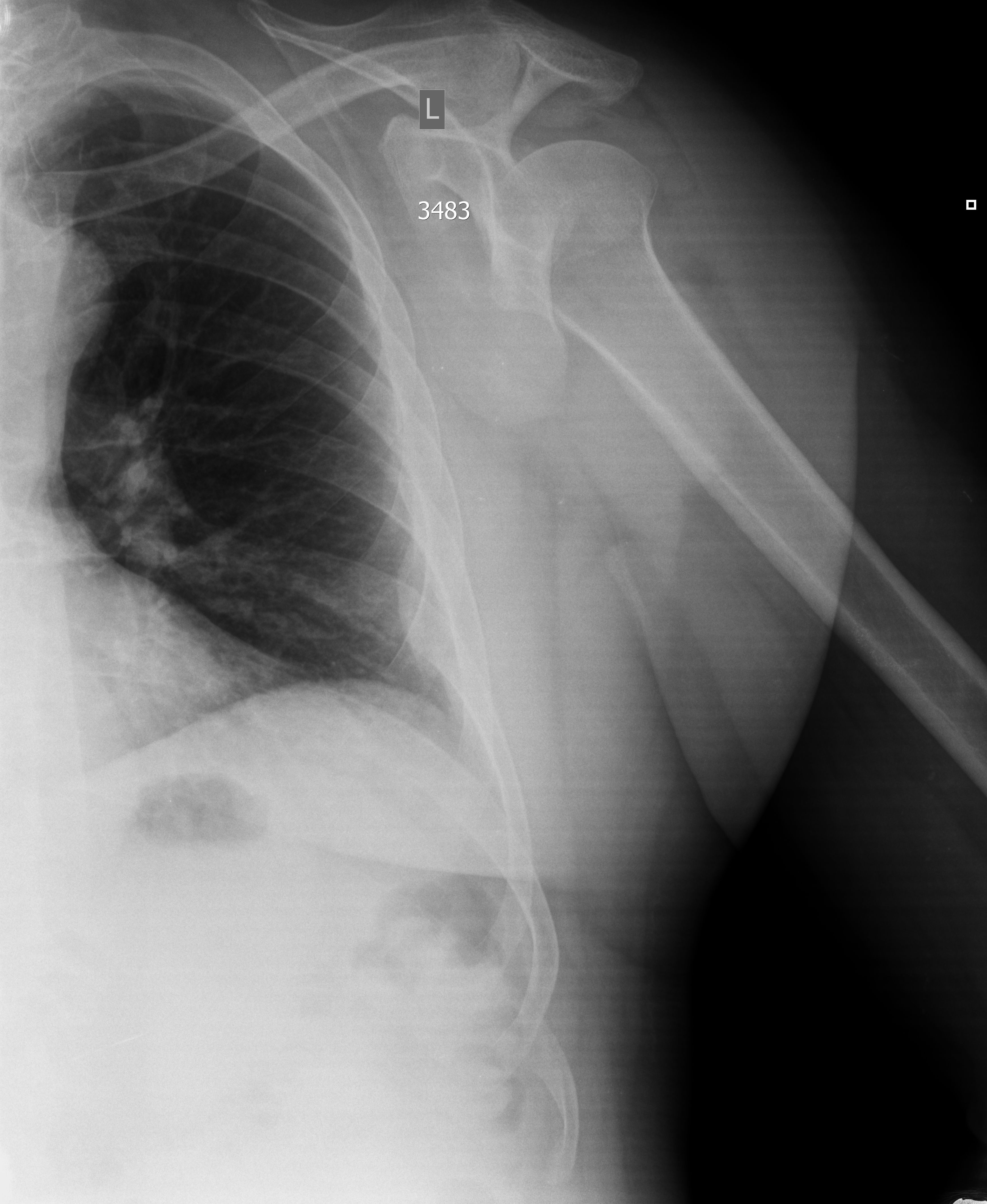
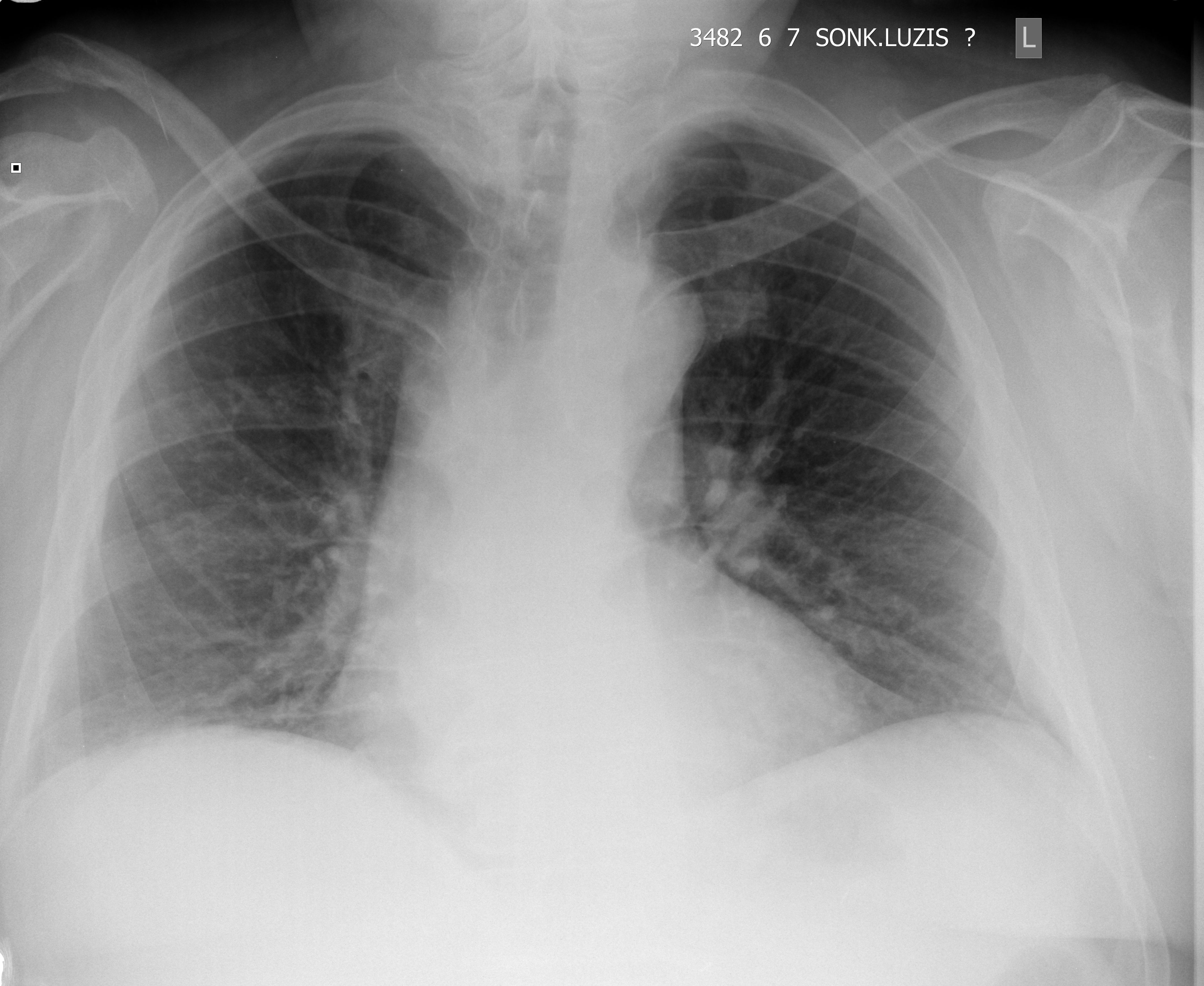
Мужчина, 59 лет, перелом ребра, травма месяц назад. Формирование костной мозоли.

phpBB [video]


Рентген - ответ отрицательный.
image-000000.jpg
image-000000.jpg
Ответить

Вернуться в «Легкие, грудная клетка»

Кто сейчас на конференции

Сейчас этот форум просматривают: нет зарегистрированных пользователей и 0 гостей