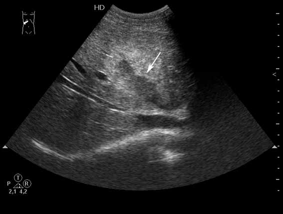
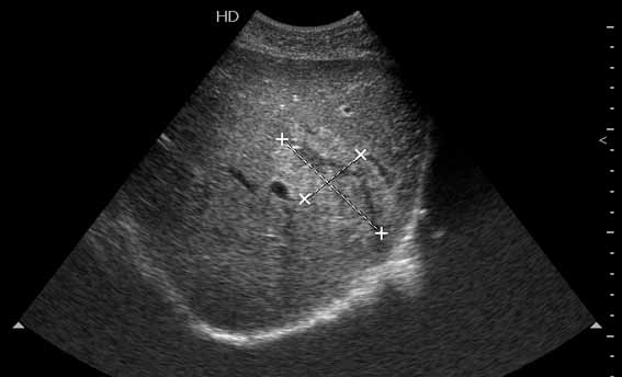
Разрыв печени у пациента 26 лет

Печень, желчный пузырь, поджелудочная железа, селезенка. Кишечник.
Только верифицированые изображения
Ответить
Аватара пользователя
KsV
Администратор
Сообщения: 2191
Зарегистрирован: 22 фев 2009, 13:38
Откуда: Беларусь-Lietuva
Контактная информация:

Разрыв печени у пациента 26 лет

Сообщение KsV »

При поступлении
09-01-02-194207_41_20090102.jpg
Через трое суток
09-01-05-135715_77_20090105.jpg
Ответить

Вернуться в «Абдоминальные исследования»

Кто сейчас на конференции

Сейчас этот форум просматривают: нет зарегистрированных пользователей и 2 гостя