УЗИ плода. Аномалия развития.

Плод. Скрининг пороков развития.
Только верифицированые изображения
Ответить
Аватара пользователя
Dr.Mario
Эксперт
Сообщения: 160
Зарегистрирован: 17 мар 2009, 07:36
Контактная информация:

УЗИ плода. Аномалия развития.

Сообщение Dr.Mario »

Женщина 23 года; из глухой деревни. К врачу обращалась один раз, когда забеременела. Дату последних месячных не помнит. Gravida 2, para 0. Направлена гинекологом для определения точного срока беременности и состояния плода.
Вложения
1
1
2
2
3
3
4
4
5
5
6
6
7
7
8
8
Let me see...
www.radiographia.ru
Алексей
Эксперт
Сообщения: 1
Зарегистрирован: 18 мар 2009, 15:18
Контактная информация:

Re: УЗИ плода. Аномалия развития.

Сообщение Алексей »

Если нужна консультация-пожалуйста: Вы столкнулись с классическим случаем Spina Bifida Cystica.
Классические изменения при данной патологии таковы:
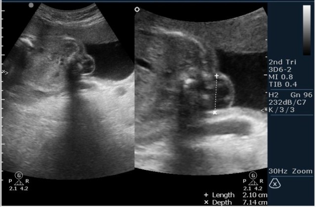
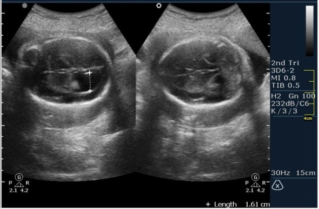
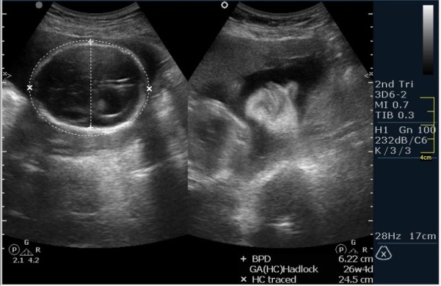
1.Вентрикуломегалия/гидроцефалия (на сонограмме №1 размер задних рогов боковых желудочков 16мм при норме до 10 мм включительно;
2.V-образное расщепление позвоночного столбы(рахисхизис)(на сонограмме №6 отчетливо виден дефект в поясничном отделе);
3.наличие дорсально расположенного содержимого спинномозгового канала(на сонограмме №7 видны мозговые оболочки).Это описывается как менингоцеле.
Ваш аппарат имеет режим объемной визуализации 3D/4D.Для постановки диагноза Вам в данном случае лучше было использовать не режим поверхностной реконструкции "Surface",а режим для визуализации скелета "Skeleton".В таком случае дефекты позвоночника будут видны отчетливее.
С наилучшими пожеланиями
Аватара пользователя
Dr.Mario
Эксперт
Сообщения: 160
Зарегистрирован: 17 мар 2009, 07:36
Контактная информация:

Re: УЗИ плода. Аномалия развития.

Сообщение Dr.Mario »

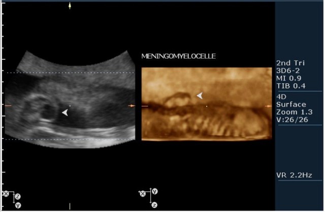
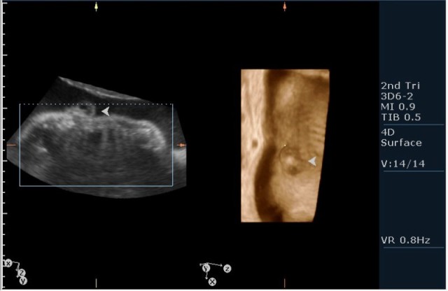
На сонограммах головы плода визуализаируется гифдроцефалия, патогенетически связанная со спинномозговой грыжей (менингомиелоцеле) представленная в 2D и 3D режимах. В режиме Skeleton не удалось получить "картинку презентационного качества", плод начал сильно вертется; но рекоммендация очень грамотная :idea: , спасибо за ваш пост!
Вложения
Meningomyelocelle
Meningomyelocelle
Let me see...
www.radiographia.ru
Аватара пользователя
Dr.Mario
Эксперт
Сообщения: 160
Зарегистрирован: 17 мар 2009, 07:36
Контактная информация:

Re: УЗИ плода. Аномалия развития.

Сообщение Dr.Mario »

Кстати, пол-года назад, на сайте радиография.ру, я делал небольшую подборку из разнных западнных источников, демонстрационных сонограмм по врождённым аномалиям плода с небольшими комментариями. Вот ссылка: http://www.radiographia.ru/image/tid/194
Let me see...
www.radiographia.ru
Аватара пользователя
KsV
Администратор
Сообщения: 2191
Зарегистрирован: 22 фев 2009, 13:38
Откуда: Беларусь-Lietuva
Контактная информация:

Re: УЗИ плода. Аномалия развития.

Сообщение KsV »

Интересно ваше мнение, коллеги, о возможности внутриутробной диагностики менингомиелоцеле после его разрыва.
Заранее благодарю за ответы.
Pasenov
Сообщения: 5
Зарегистрирован: 07 май 2009, 14:06
Контактная информация:

Re: УЗИ плода. Аномалия развития.

Сообщение Pasenov »

Уважаемый коллега! Никогда прежде нигде не читал про разрыв менингомиелоцеле внутриутробно! Но даже если такое произойдет то наверняка дефект костей не уйдет от взгляда даже неопытного перинатолога.
Аватара пользователя
KsV
Администратор
Сообщения: 2191
Зарегистрирован: 22 фев 2009, 13:38
Откуда: Беларусь-Lietuva
Контактная информация:

Re: УЗИ плода. Аномалия развития.

Сообщение KsV »

Pasenov писал(а):Уважаемый коллега! Никогда прежде нигде не читал про разрыв менингомиелоцеле внутриутробно! Но даже если такое произойдет то наверняка дефект костей не уйдет от взгляда даже неопытного перинатолога.
Благодарю за ответ.
Ответить

Вернуться в «Акушерские исследования»

Кто сейчас на конференции

Сейчас этот форум просматривают: нет зарегистрированных пользователей и 0 гостей