Мезаденит, инвагинация у ребенка

Печень, желчный пузырь, поджелудочная железа, селезенка. Кишечник.
Только верифицированые изображения
Ответить
Аватара пользователя
Dr.Mario
Эксперт
Сообщения: 160
Зарегистрирован: 17 мар 2009, 07:36
Контактная информация:

Мезаденит, инвагинация у ребенка

Сообщение Dr.Mario »

Ребёнок с болями в животе.
Вложения
intus.0.JPG
intus.1.JPG
intus.2.JPG
intus.3.JPG
intus.4.JPG
intus.5.JPG
intus.6.JPG
intus.7.JPG
intus.8.JPG
Let me see...
www.radiographia.ru
doctor PopovVV
Сообщения: 13
Зарегистрирован: 11 мар 2009, 01:24
Контактная информация:

Re: УЗИ Брюшной полости

Сообщение doctor PopovVV »

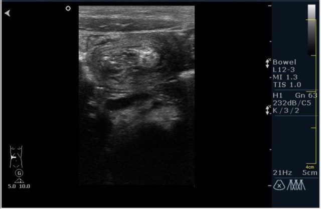
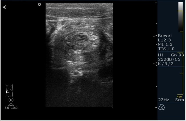
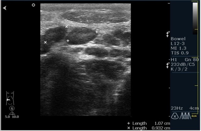
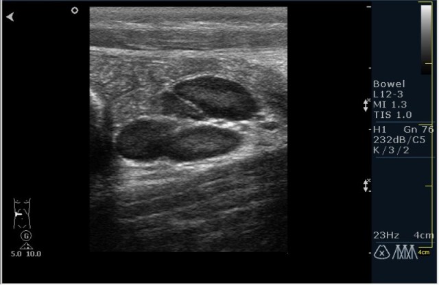
Для начала - увеличение лимфоузлов брюшной полости.
Плюс определяется образование в брюшной полости- tumor?, инфильтрат?, инвагинация?
Аватара пользователя
Dr.Mario
Эксперт
Сообщения: 160
Зарегистрирован: 17 мар 2009, 07:36
Контактная информация:

Re: УЗИ Брюшной полости

Сообщение Dr.Mario »

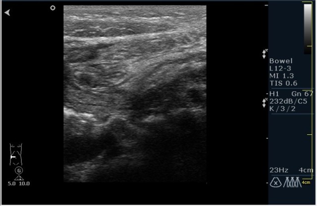
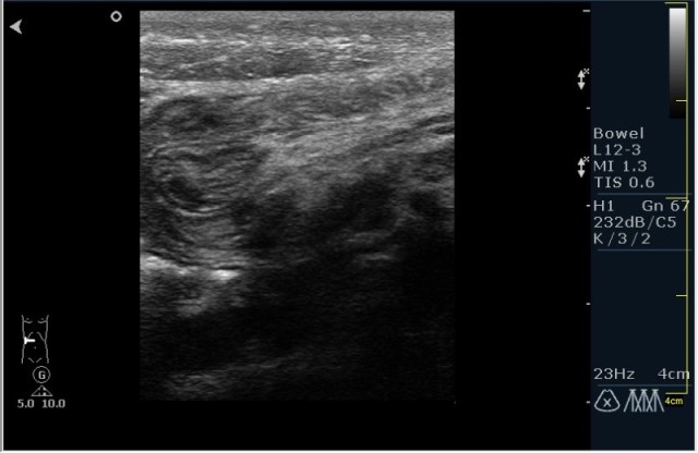
инвагинация! :!:


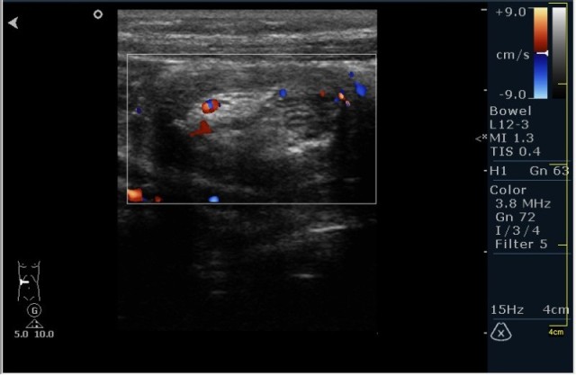
На представленных сонограммах определяется типичная "мишень" или "кокарда" (7ая и 8ая сонограмма сверху), которая при продольном сканировании превращается в "телескоп" (сонограммы 3 & 4). Все это указывет на инвагинацию кишечника (илео-цекальную). Причиной явилось лимфаденопатия брыжейки (которую вы указали). Увеличеные лимфоузлы вместе с инвагинатом хорошо различимы в просвете толстой кишки.
Let me see...
www.radiographia.ru
ФАМ
Учитель
Сообщения: 12
Зарегистрирован: 18 мар 2009, 21:09
Контактная информация:

Re: УЗИ Брюшной полости

Сообщение ФАМ »

Уважаемые коллеги! Без сомнения имеет место илео-цекальная инвагинация.увеличенные овальные лимфоузлы, да еще такими гроздями характерны для мезаденита.Все зависит от развертывания клинической симптоматики.
Вариант 1- развите острого мезаденита спровоцировало инвагинацию.
вариант 2 - повторяющиеся эпизоды инвагинации привели к лимфоаденопатии.
А.М.Шифрин
Сообщения: 60
Зарегистрирован: 12 апр 2009, 18:41
Контактная информация:

Re: УЗИ Брюшной полости

Сообщение А.М.Шифрин »

Уважаемый Dr.Mario !
Позвольте узнать, на каком приборе Вы работаете.
С уважением, А. Шифрин
Аватара пользователя
Dr.Mario
Эксперт
Сообщения: 160
Зарегистрирован: 17 мар 2009, 07:36
Контактная информация:

Re: УЗИ Брюшной полости

Сообщение Dr.Mario »

А.М.Шифрин писал(а):Уважаемый Dr.Mario !
Позвольте узнать, на каком приборе Вы работаете.
С уважением, А. Шифрин
Philips HD 11 :)
Let me see...
www.radiographia.ru
besliu
Сообщения: 142
Зарегистрирован: 11 окт 2009, 08:31
Контактная информация:

Re: УЗИ Брюшной полости

Сообщение besliu »

duble-buble- intusssusception + lymphadenitis regionale
w.Thyme
Сообщения: 143
Зарегистрирован: 24 апр 2010, 17:46

Re: Мезаденит, инвагинация у ребенка

Сообщение w.Thyme »

10 ти летний с болями в животе

до 1.5 лет причиной инвагинации являются функциональные расстройства, связанные с приёмом пищи, принимать которую не позволяет религия в этом возрасте - как правило возраст - 4-8 мес.
в более старшем возрасте - от 1.5 лет - причин масса - мезадениты, дивертикул Меккеля, аппендицит.
Вложения
инв 10лет4 1.JPG
инв 10лет4 1.JPG (15.52 КБ) 4769 просмотров
оказалась - инвагинация
оказалась - инвагинация
инв 10лет5 1.JPG (19.5 КБ) 4769 просмотров
инв с лу брыжейки11.JPG
инв с лу брыжейки11.JPG (21.24 КБ) 4769 просмотров
2 года 4 месяца
2 года 4 месяца
инв с лу брыжейки профиль2 1.bmp..JPG (22.41 КБ) 4769 просмотров
Ответить

Вернуться в «Абдоминальные исследования»

Кто сейчас на конференции

Сейчас этот форум просматривают: нет зарегистрированных пользователей и 1 гость