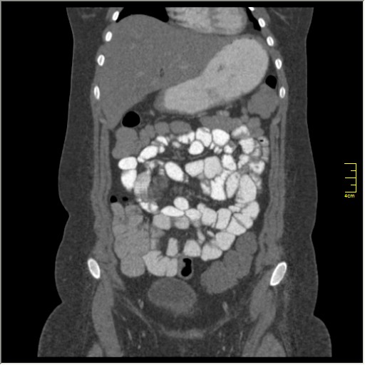
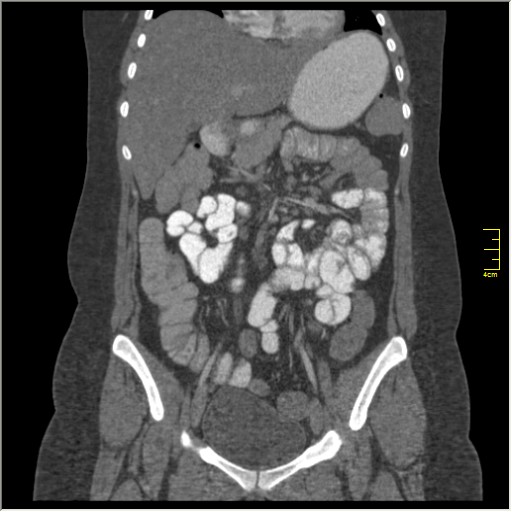
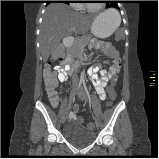
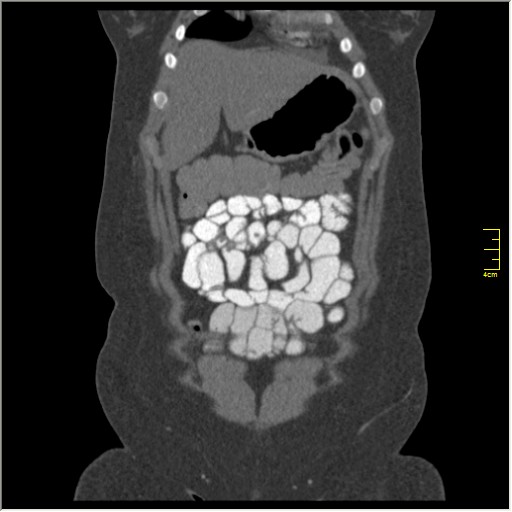
КТ энтерография

Печень, желчный пузырь, поджелудочная железа, селезенка. Кишечник.
Только верифицированые изображения
Ответить
Аватара пользователя
Dr.Mario
Эксперт
Сообщения: 160
Зарегистрирован: 17 мар 2009, 07:36
Контактная информация:

КТ энтерография

Сообщение Dr.Mario »

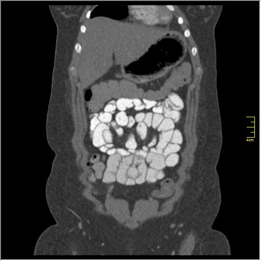
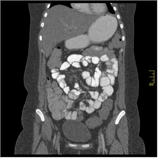
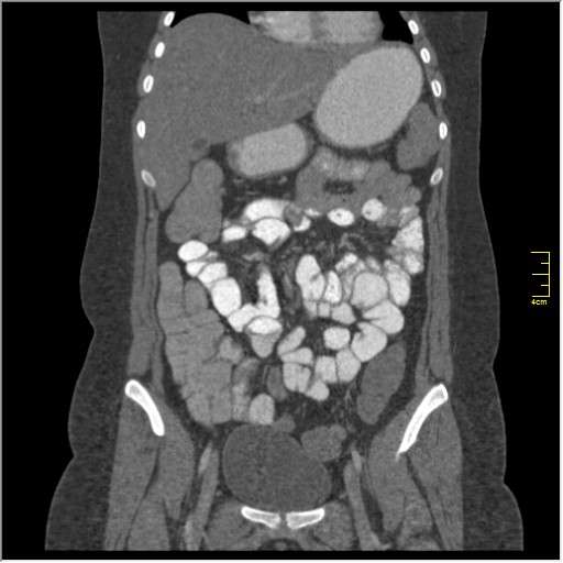
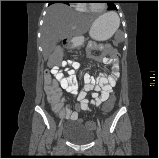
Демонстрационные изображение, оцените возможности метода! Толщина среза реконструкции 0.5-1 мм.
Вложения
entero0.JPG
entero1.JPG
entero2.JPG
entero3.JPG
entero4.JPG
entero5.JPG
entero6.JPG
entero7.JPG
entero8.JPG
entero9.JPG
entero10.JPG
entero11.JPG
Let me see...
www.radiographia.ru
Ответить

Вернуться в «Абдоминальные исследования»

Кто сейчас на конференции

Сейчас этот форум просматривают: нет зарегистрированных пользователей и 0 гостей