Пациент с болями в эпигастрии

Печень, желчный пузырь, поджелудочная железа, селезенка. Кишечник.
Только верифицированые изображения
Ответить
Аватара пользователя
Dr.Mario
Эксперт
Сообщения: 160
Зарегистрирован: 17 мар 2009, 07:36
Контактная информация:

Пациент с болями в эпигастрии

Сообщение Dr.Mario »

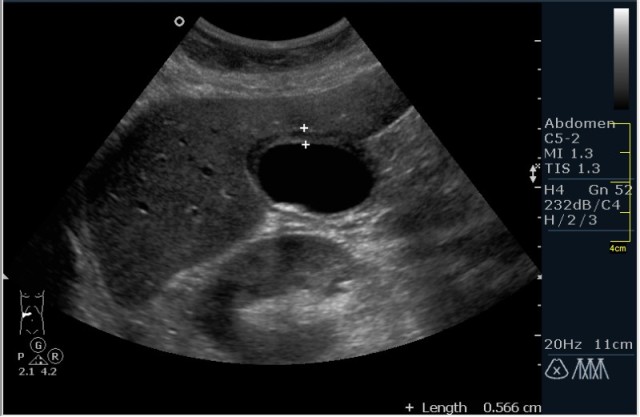
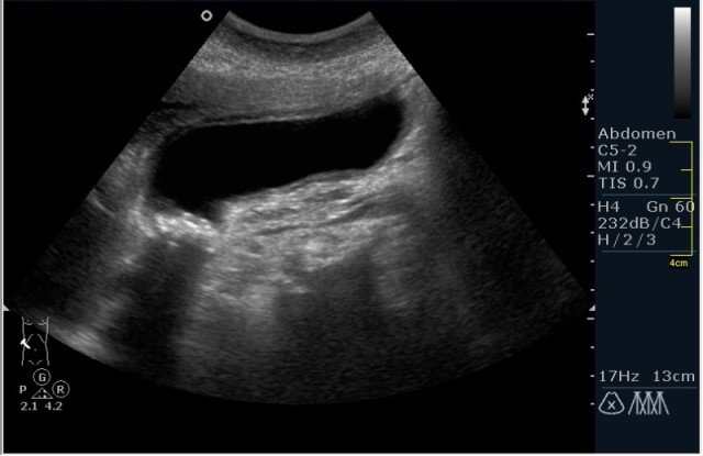
Диагноз не сложен. Как вы думаете, что необходимо рекоммендовать именно при такой картинке?
Вложения
GB0.JPG
GB1.JPG
GB4.JPG
Let me see...
www.radiographia.ru
ФАМ
Учитель
Сообщения: 12
Зарегистрирован: 18 мар 2009, 21:09
Контактная информация:

Re: Пациент с болями в эпигастрии

Сообщение ФАМ »

острый калькулезный холецистит
Аватара пользователя
Dr.Mario
Эксперт
Сообщения: 160
Зарегистрирован: 17 мар 2009, 07:36
Контактная информация:

Re: Пациент с болями в эпигастрии

Сообщение Dr.Mario »

Без сомнений, вопрос касался рекоммендации. При таких множественных мелких конкрементах, желательно выполнение интра-операционной холангиографии, для исключения наличия конкрементов общего жёлчного протока.
Let me see...
www.radiographia.ru
Аватара пользователя
KsV
Администратор
Сообщения: 2189
Зарегистрирован: 22 фев 2009, 13:38
Откуда: Беларусь-Lietuva
Контактная информация:

Re: Пациент с болями в эпигастрии

Сообщение KsV »

Марио, спасибо за случай.
В Архив.
Ответить

Вернуться в «Абдоминальные исследования»

Кто сейчас на конференции

Сейчас этот форум просматривают: нет зарегистрированных пользователей и 0 гостей