Женщина с жалобами на кашель в течении месяца.
Женщина с жалобами на кашель в течении месяца.
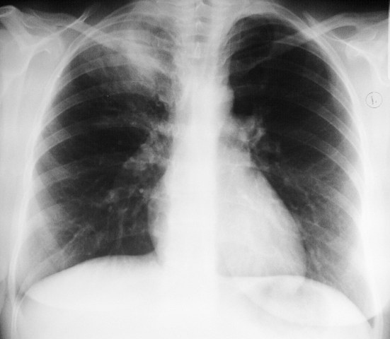
Женщина 32 года; месяц как кашляет. Повышения температутры тела не отмечала. Изначально выполнили рентгенографию. Что делать дальше?
-
Рентгенолог
- Сообщения: 4
- Зарегистрирован: 19 мар 2009, 12:39
- Контактная информация:
Re: Женщина с жалобами на кашель в течении месяца.
туберкулез,пневмония,бронхогенный рак?
Re: Женщина с жалобами на кашель в течении месяца.
Ок, мы определились с дифференциальным рядом при такой рентгенологической картине (Затемнение верхених сегментов правого лёгкого, S2). Какую рекоммендацию Вы бы дали такому пациенту? Что будем делать дальше?
-
doctor PopovVV
- Сообщения: 13
- Зарегистрирован: 11 мар 2009, 01:24
- Контактная информация:
Re: Женщина с жалобами на кашель в течении месяца.
Далее рекомендуем лабораторные исследования, КТ легких.
Re: Женщина с жалобами на кашель в течении месяца.
KT
- Вложения
-
- 2.jpg (11.8 КБ) 13773 просмотра
-
- 4.jpg (10.88 КБ) 13772 просмотра
-
- 5.jpg (9.54 КБ) 13772 просмотра
-
- 6.jpg (9.75 КБ) 13773 просмотра
-
- 7.jpg (11.11 КБ) 13773 просмотра
-
- 8.jpg (11.58 КБ) 13774 просмотра
-
- 9.jpg (11.52 КБ) 13773 просмотра
-
- 10.jpg (11.5 КБ) 13775 просмотров
-
- 11.jpg (12.6 КБ) 13778 просмотров
-
- 12.jpg (12.05 КБ) 13774 просмотра
-
doctor PopovVV
- Сообщения: 13
- Зарегистрирован: 11 мар 2009, 01:24
- Контактная информация:
Re: Женщина с жалобами на кашель в течении месяца.
Консультация фтизиатра (инфильтративный туберкулез? пневмония?)
Re: Женщина с жалобами на кашель в течении месяца.
Давайте определимся, для начала обозначим какие КТ признаки мы видим на представленных сканах. И главное это не перечисление вариантов диагнозов (если нет однозначного варианта); а определить что надо сделать следующим этапом для достижения окончательного диагноза.
P.S. Вы думаете что фтизиатр лучще радиолога разберётся в КТ сканах?
P.S. Вы думаете что фтизиатр лучще радиолога разберётся в КТ сканах?
-
doctor PopovVV
- Сообщения: 13
- Зарегистрирован: 11 мар 2009, 01:24
- Контактная информация:
Re: Женщина с жалобами на кашель в течении месяца.
ИМХО на следующем этапе-КТ контроль в динамике на фоне лечения(антибиотикотерапии)
Re: Женщина с жалобами на кашель в течении месяца.
Вполне адекватная тактика. КТ контроль через 3-4 недели после антибактериальной терапии, совершенно правильно.
В данном случае, пульмонолог решил пойти на бронхоскопию; был забор материала. Лабараторный анализ (ПЦР) выявил положительную реакцию на туберкулёз.
В данном случае, пульмонолог решил пойти на бронхоскопию; был забор материала. Лабараторный анализ (ПЦР) выявил положительную реакцию на туберкулёз.
Кто сейчас на конференции
Сейчас этот форум просматривают: нет зарегистрированных пользователей и 1 гость