Заранее благодарен.
Анэхогенное образование в перешейке матки
Анэхогенное образование в перешейке матки
Уважаемые коллеги, прошу высказать ваше мнение по поводу следующей ситуации:
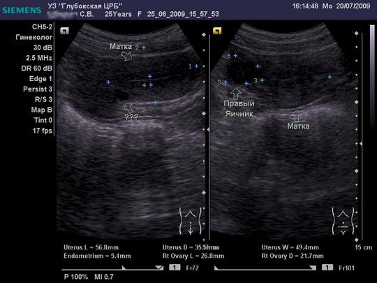
Женщина 25 лет предъявляет жалобы на периодически возникающую болезненность в нижних отделах живота, боли появились около 6-8 мес. Менструальная функция не нарушена. В анамнезе кесарево сечение, ребёнку 2,5 года.
Заранее благодарен.
Заранее благодарен.
- KsV
- Администратор
- Сообщения: 2189
- Зарегистрирован: 22 фев 2009, 13:38
- Откуда: Беларусь-Lietuva
- Контактная информация:
Re: Анэхогенное образование в перешейке матки
Doc, на взгляд неспециалиста в гинекологическом УЗИ - Nabothian cyst
Здесь также подобное.
Но все же подождем экспертов
Здесь также подобное.
Но все же подождем экспертов
Re: Анэхогенное образование в перешейке матки
Спасибо.
Я тоже думал про наботовы желёзки, но меня смутил тот момент, что не явилось ли это образование следствием оперированной матки, лигатуры... ну чего-то там с ними... или что-то в этом духе????

Я тоже думал про наботовы желёзки, но меня смутил тот момент, что не явилось ли это образование следствием оперированной матки, лигатуры... ну чего-то там с ними... или что-то в этом духе????
Re: Анэхогенное образование в перешейке матки
Согласен, Наботова или эндо-цервикальная киста шейки. Ничего специфического.
Re: Анэхогенное образование в перешейке матки
Naboti пишем, эндометриоз в уме
Re: Анэхогенное образование в перешейке матки
Коллеги, я на этих снимках ничего не вижу, одна чернота.
Re: Анэхогенное образование в перешейке матки
запросто. об эндометриозе надо думать, когда ov.nabotae несколько. и к тому же присутствуют гиперэхогенные линейные включенияDoc писал(а):Спасибо.
явилось ли это образование следствием оперированной матки, лигатуры... ну чего-то там с ними... или что-то в этом духе????![]()
Re: Анэхогенное образование в перешейке матки
Полностью согласна с последним постом 
Кто сейчас на конференции
Сейчас этот форум просматривают: нет зарегистрированных пользователей и 0 гостей