КТ брюшной полости

Печень, желчный пузырь, поджелудочная железа, селезенка. Кишечник.
Изображения для консультации
Ответить
Аватара пользователя
Dr.Mario
Эксперт
Сообщения: 160
Зарегистрирован: 17 мар 2009, 07:36
Контактная информация:

КТ брюшной полости

Сообщение Dr.Mario »

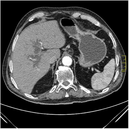
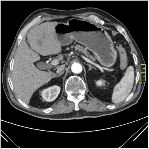
Мужчина 62 года с желтухой
Вложения
pancr0.JPG
pancr1.JPG
pancr2.JPG
pancr3.JPG
pancr4.JPG
pancr5.JPG
pancr6.JPG
pancr7.JPG
pancr8.JPG
pancr9.JPG
pancr10.JPG
pancr11.JPG
pancr12.JPG
Let me see...
www.radiographia.ru
Аватара пользователя
Dr.Mario
Эксперт
Сообщения: 160
Зарегистрирован: 17 мар 2009, 07:36
Контактная информация:

Re: КТ брюшной полости

Сообщение Dr.Mario »

Опухоль головки поджелудочной железы, расширение холедоха и панкреат. протока (Double Channel sign)
Let me see...
www.radiographia.ru
Аватара пользователя
KsV
Администратор
Сообщения: 2191
Зарегистрирован: 22 фев 2009, 13:38
Откуда: Беларусь-Lietuva
Контактная информация:

Re: КТ брюшной полости

Сообщение KsV »

Dr.Mario писал(а):Опухоль головки поджелудочной железы, расширение холедоха и панкреат. протока (Double Channel sign)
Марио, а сама опухоль здесь видна?
Аватара пользователя
Dr.Mario
Эксперт
Сообщения: 160
Зарегистрирован: 17 мар 2009, 07:36
Контактная информация:

Re: КТ брюшной полости

Сообщение Dr.Mario »

Естественно! (Вспомнил персонажа Александра Ревы: Артура Пирожкова:

- А ты меня хочешь?
-Да

Ответ: естественно).
Let me see...
www.radiographia.ru
Аватара пользователя
Dr.Mario
Эксперт
Сообщения: 160
Зарегистрирован: 17 мар 2009, 07:36
Контактная информация:

Re: КТ брюшной полости

Сообщение Dr.Mario »

Карциномы панкреас гиподенсны на КТ с болюсом, т.к. содержать много соединительной и фиброзной ткани, в отличие от нормальной ткани железы, которая (как любая железа) хорошо васкуляризирована. Поэтому если видим в панкреас солидное гиподенсное образование - всегда настораживает на предмет рака. Второй момент: обязательная оценка взаимоотношения опухоли к ВБА и ВБВ, на предмет оценки операбельности.
Вложения
pancr7.JPG
pancr7.JPG (62.38 КБ) 2855 просмотров
Let me see...
www.radiographia.ru
Аватара пользователя
KsV
Администратор
Сообщения: 2191
Зарегистрирован: 22 фев 2009, 13:38
Откуда: Беларусь-Lietuva
Контактная информация:

Re: КТ брюшной полости

Сообщение KsV »

Марио, научите меня оценивать операбельность. Я думаю что это будет интересно всем.
Мне приходится часто сравнивать данные УЗД с данными КТ исследования и если честно,то не всегда могу на КТ увидеть то что видно на УЗИ (наверное, из-за отсутствия опыта).
Ответить

Вернуться в «Абдоминальные исследования»

Кто сейчас на конференции

Сейчас этот форум просматривают: нет зарегистрированных пользователей и 0 гостей