Жалобы на невыраженные боли в правом подреберье. Неделю назад был приступ. Пожелтел позавчера.
Мужчина, опухоль Клацкин, желтуха
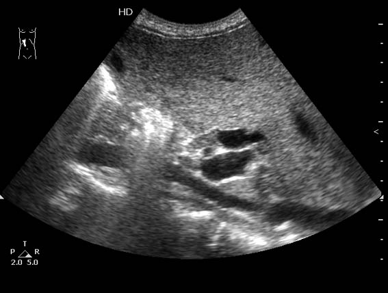
Re: Мужчина 43 лет с желтухой
конкремента не вижу. желчный пузырь с утолщенными, слоистыми стенками, как при гепатите А, однако печень обычной эхогенности, да и подобные изменения стенок желчного - происходит в дожелтушный период. При этом расширенные желчные протоки и что-то изоэхогенное(Клацкин?)... я в шоке!
можно подсказку - а что с селезенкой?
а можно еще подсказку - а что это?
можно подсказку - а что с селезенкой?
а можно еще подсказку - а что это?
- Вложения
-
- неискренне это
- 10-06-07-130035_011.JPG (24.22 КБ) 1957 просмотров
Последний раз редактировалось w.Thyme 07 июн 2010, 20:47, всего редактировалось 1 раз.
- KsV
- Администратор
- Сообщения: 2191
- Зарегистрирован: 22 фев 2009, 13:38
- Откуда: Беларусь-Lietuva
- Контактная информация:
Re: Мужчина 43 лет с желтухой
Селезенка нормальная.w.Thyme писал(а):можно подсказку - а что с селезенкой?
А стрелкой обозначено то самое, что ищем.
Re: Мужчина 43 лет с желтухой
судя по снимкам и видео жп не самое главное, впечатления после покадрового просмотра и зума области интереса
клип первый:
образование холедоха?
образование печени - изоэхогенное сдавливающий холедох?
клип второй: стенка холедоха уже не так четко
около ВВ вроде бы л/у небольшой овальный мелькнул
в печени доп очаги есть ?
клип первый:
образование холедоха?
образование печени - изоэхогенное сдавливающий холедох?
клип второй: стенка холедоха уже не так четко
около ВВ вроде бы л/у небольшой овальный мелькнул
с прорастанием в печень? образование печени?Клацкин
в печени доп очаги есть ?
- KsV
- Администратор
- Сообщения: 2191
- Зарегистрирован: 22 фев 2009, 13:38
- Откуда: Беларусь-Lietuva
- Контактная информация:
Re: Мужчина 43 лет с желтухой
Да, похоже что это опухоль Клацкин - холангиокарциннома зоны слияния правого и левого жёлчных протоков. На втором видео отчетливо видно, что эта зона заполнена изоэхогенным новообразованием.
Кто сейчас на конференции
Сейчас этот форум просматривают: нет зарегистрированных пользователей и 1 гость