Бэбиграмма ребёнка из РАО

То, что не вошло в предыдущие разделы.
Только верифицированые изображения
Ответить
Аватара пользователя
valeriy.andilevko
Сообщения: 194
Зарегистрирован: 01 мар 2011, 19:34
Откуда: Витебск
Контактная информация:

Бэбиграмма ребёнка из РАО

Сообщение valeriy.andilevko »

Хочу разбавить засилие ультразвуковых изображений на сайте и способоствовать более полному его ссответствию своему названию.
Ребёнок с рождения находится в РАО новорожденных, причину пока не скажу. На момент снимка - возраст 1 месяц. Снимок сделан в связи с резким ухудшением состояния, падением сатурации.
CR0001.jpg
Аватара пользователя
valeriy.andilevko
Сообщения: 194
Зарегистрирован: 01 мар 2011, 19:34
Откуда: Витебск
Контактная информация:

Re: Бэбиграмма ребёнка из РАО

Сообщение valeriy.andilevko »

Похоже , рентгенологов или заинтересованных рентгеновскими изображениями на сайте мало. А жаль: во взрослой практике такую картинку не встретишь.
"Специалист - это человек , который знает всё больше и больше о всё меньшем и меньшем. Идеальный специалист - это человек, который знает абсолютно всё абсолютно ни о чём"
Законы Мерфи :D
Аватара пользователя
SurgeonA
Сообщения: 9
Зарегистрирован: 26 ноя 2011, 18:56
Контактная информация:

Re: Бэбиграмма ребёнка из РАО

Сообщение SurgeonA »

Похоже на об"ємний утвір верхівки правої легені?
Аватара пользователя
valeriy.andilevko
Сообщения: 194
Зарегистрирован: 01 мар 2011, 19:34
Откуда: Витебск
Контактная информация:

Re: Бэбиграмма ребёнка из РАО

Сообщение valeriy.andilevko »

SurgeonA писал(а):Похоже на об"ємний утвір верхівки правої легені?
Отчасти верно, хотя в общем всё несклько сложнее. Добавлю изображение, полученное у ребёнка до того, ка ему стало совсем плохо
CR0001.jpg
Картинка несколько отличается ;)
Аватара пользователя
valeriy.andilevko
Сообщения: 194
Зарегистрирован: 01 мар 2011, 19:34
Откуда: Витебск
Контактная информация:

Re: Бэбиграмма ребёнка из РАО

Сообщение valeriy.andilevko »

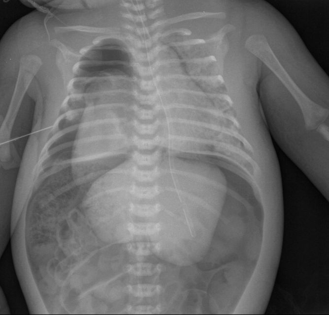
Поскольку картинка "до того как" активности не вызвала, добавлю картинку после того как в ситуацию вмешался хирург. Может быть станет яснее...
CR0002 (2).jpg
Аватара пользователя
valeriy.andilevko
Сообщения: 194
Зарегистрирован: 01 мар 2011, 19:34
Откуда: Витебск
Контактная информация:

Re: Бэбиграмма ребёнка из РАО

Сообщение valeriy.andilevko »

Похоже, рентгенологов на сайте и правда мало :cry: А жаль ...
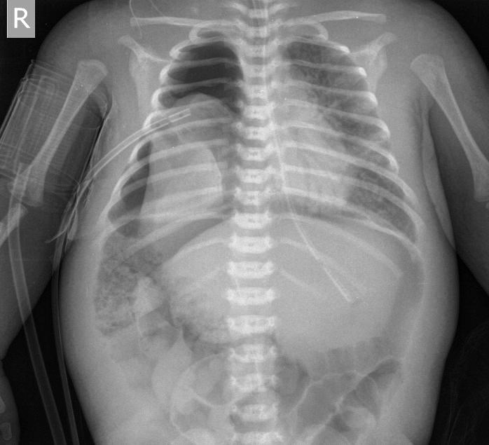
Итак: в данном случае пренатально был выставлена правосторонняя диафрагмальная грыжа, родоразрешение было проведено на республиканском уровне, после чего ребёнком сразу начали заниматься детские хирурги. Была проведена торакоскопия, на которой выявили выраженную гипоплазию и апневматоз правого лёгкого. Кроме того у ребёнка по ходу случилось массивное внутрижелудочковое кровоизлияние и сформировалась прогрессирующая гидроцефалия. В связи с бесперктивноситью оперативного лечения, ребёнок был переведён в РАО нашей больницы в качестве хосписного больного.
CR0001.jpg
Поскольку состояние ребёнка относительно стабилизировалось , начали подумывать о возможноти всё- таки провести опративное лечение, но произошло резкое ухудшение состояния ребёнка в связи с тем, что лопнул рудимент правого лёгкого . Получена рентгенологическая картина почти всех возможных вариантов синдрома утечки воздуха, в т. ч. и пневмоперитонеум , поскольку правого купола диафрагмы не было и воздух из плевральной полости заполнил брюшную полость и дал напряжённый пневмоперитонеум:
CR0002.jpg

Была задренирована правая плевральная полость, в первую очередь воздух ушёл из живота.
CR0002 (2).jpg
После всех этих проблем ребёнок прожил ещё около 2-х недель. На секции - правосторонняя ложная диафрагмальная грыжа, гипоплазированное безвоздушное правое лёгкое.
Аватара пользователя
KsV
Администратор
Сообщения: 2189
Зарегистрирован: 22 фев 2009, 13:38
Откуда: Беларусь-Lietuva
Контактная информация:

Re: Бэбиграмма ребёнка из РАО

Сообщение KsV »

Шикарные рентгенограммы и разъяснения!
Ответить

Вернуться в «Разное»

Кто сейчас на конференции

Сейчас этот форум просматривают: нет зарегистрированных пользователей и 1 гость