Пожилой человек с аневризмой брюшного отдела аорты.
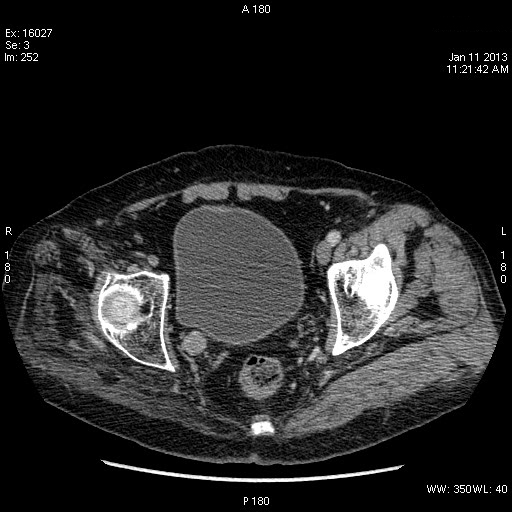
TCC нижней трети правого мочеточника
Модератор: KsV
Re: УЗИ мочевой системы
тумор мочеточника
- KsV
- Администратор
- Сообщения: 2191
- Зарегистрирован: 22 фев 2009, 13:38
- Откуда: Беларусь-Lietuva
- Контактная информация:
Re: УЗИ мочевой системы
Да, переходноклеточная опухоль нижней трети правого мочеточника, вторичный гидроуретеронефроз.
Re: УЗИ мочевой системы
никогдаб не догадался....
я далёк от совершенства...
Кто сейчас на конференции
Сейчас этот форум просматривают: нет зарегистрированных пользователей и 1 гость