TCC нижней трети правого мочеточника

Почки, мочеточники, мочевой пузырь, уретра. Простата и яички.

Модератор: KsV

Ответить
Аватара пользователя
KsV
Администратор
Сообщения: 2191
Зарегистрирован: 22 фев 2009, 13:38
Откуда: Беларусь-Lietuva
Контактная информация:

TCC нижней трети правого мочеточника

Сообщение KsV »

Пожилой человек с аневризмой брюшного отдела аорты.

phpBB [video]


phpBB [video]
Аватара пользователя
KsV
Администратор
Сообщения: 2191
Зарегистрирован: 22 фев 2009, 13:38
Откуда: Беларусь-Lietuva
Контактная информация:

Re: УЗИ мочевой системы

Сообщение KsV »

Да, переходноклеточная опухоль нижней трети правого мочеточника, вторичный гидроуретеронефроз.

phpBB [video]
Аватара пользователя
KsV
Администратор
Сообщения: 2191
Зарегистрирован: 22 фев 2009, 13:38
Откуда: Беларусь-Lietuva
Контактная информация:

Re: УЗИ мочевой системы

Сообщение KsV »

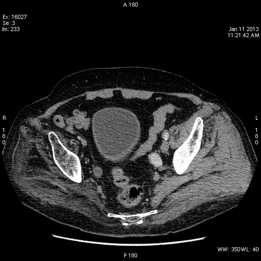
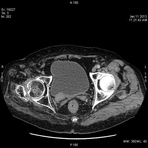
КТ
se001.jpg
se002.jpg
se006.jpg
Serg
Сообщения: 252
Зарегистрирован: 15 июн 2011, 20:52
Контактная информация:

Re: УЗИ мочевой системы

Сообщение Serg »

никогдаб не догадался.... :cry: я далёк от совершенства...
Ответить

Вернуться в «Уронефрологические исследования»

Кто сейчас на конференции

Сейчас этот форум просматривают: нет зарегистрированных пользователей и 1 гость