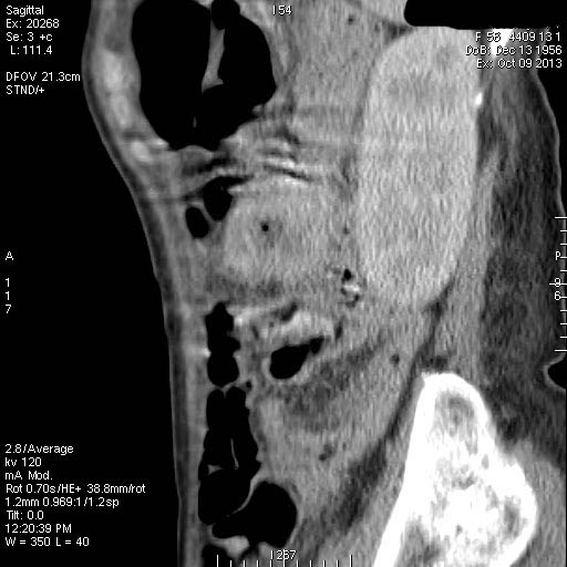
Женщина средних лет поступила в хирургическое отделение с кишечным кровотечением.
Пальпируется образование в мезогастриуме слева. При УЗИ определяется тумор, не связанный с толстой кишкой.
КТ
Колоноскопия - тумор не обнаружен.
Операция - обнаружена опухоль тонкой кишки, предположительно гемангиома, выполнена резекция части кишки.
Гистологический ответ - GIST.
GIST тонкой кишки
Re: GIST тонкой кишки
как понять GIST?
- KsV
- Администратор
- Сообщения: 2191
- Зарегистрирован: 22 фев 2009, 13:38
- Откуда: Беларусь-Lietuva
- Контактная информация:
Re: GIST тонкой кишки
Гастроинтестинальные стромальные опухоли
http://omr.by/sites/default/files/struktura/16_GIST.pdf
http://www.gastro-j.ru/files/s8_1285710558.pdf
Опухоли редкие.
Я за свою практику встречался со случаями GIST раз пять, не более.
http://omr.by/sites/default/files/struktura/16_GIST.pdf
http://www.gastro-j.ru/files/s8_1285710558.pdf
Опухоли редкие.
Я за свою практику встречался со случаями GIST раз пять, не более.
Re: GIST тонкой кишки
спасибо! будем знать!
- dok333
- Сообщения: 142
- Зарегистрирован: 29 окт 2010, 09:59
- Откуда: Ukraine,Kharkiv
- Контактная информация:
Re: GIST тонкой кишки
присоединяюсь. Интересный случай. Не видел такого и в книжках по узи. Дякую)
Кто сейчас на конференции
Сейчас этот форум просматривают: нет зарегистрированных пользователей и 2 гостя