GIST тонкой кишки

Печень, желчный пузырь, поджелудочная железа, селезенка. Кишечник.
Только верифицированые изображения
Ответить
Аватара пользователя
KsV
Администратор
Сообщения: 2189
Зарегистрирован: 22 фев 2009, 13:38
Откуда: Беларусь-Lietuva
Контактная информация:

GIST тонкой кишки

Сообщение KsV »

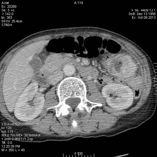
Женщина средних лет поступила в хирургическое отделение с кишечным кровотечением.
Пальпируется образование в мезогастриуме слева. При УЗИ определяется тумор, не связанный с толстой кишкой.

phpBB [video]

phpBB [video]




КТ
se011.jpg
se005.jpg
Колоноскопия - тумор не обнаружен.


Операция - обнаружена опухоль тонкой кишки, предположительно гемангиома, выполнена резекция части кишки.

Гистологический ответ - GIST.
Аватара пользователя
KsV
Администратор
Сообщения: 2189
Зарегистрирован: 22 фев 2009, 13:38
Откуда: Беларусь-Lietuva
Контактная информация:

Re: GIST тонкой кишки

Сообщение KsV »

Гастроинтестинальные стромальные опухоли
http://omr.by/sites/default/files/struktura/16_GIST.pdf
http://www.gastro-j.ru/files/s8_1285710558.pdf

Опухоли редкие.
Я за свою практику встречался со случаями GIST раз пять, не более.
Serg
Сообщения: 252
Зарегистрирован: 15 июн 2011, 20:52
Контактная информация:

Re: GIST тонкой кишки

Сообщение Serg »

спасибо! будем знать!
Аватара пользователя
dok333
Сообщения: 142
Зарегистрирован: 29 окт 2010, 09:59
Откуда: Ukraine,Kharkiv
Контактная информация:

Re: GIST тонкой кишки

Сообщение dok333 »

присоединяюсь. Интересный случай. Не видел такого и в книжках по узи. Дякую)
Ответить

Вернуться в «Абдоминальные исследования»

Кто сейчас на конференции

Сейчас этот форум просматривают: нет зарегистрированных пользователей и 2 гостя