Изменения стенок желудка - инъекции этанола

Печень, желчный пузырь, поджелудочная железа, селезенка. Кишечник.
Только верифицированые изображения
Аватара пользователя
KsV
Администратор
Сообщения: 2189
Зарегистрирован: 22 фев 2009, 13:38
Откуда: Беларусь-Lietuva
Контактная информация:

Изменения стенок желудка - инъекции этанола

Сообщение KsV »

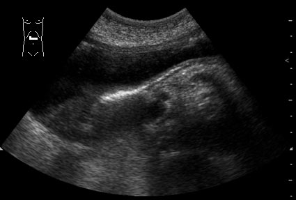
Мужчина 55 лет поступил в приемный покой БСМП с клиникой язвенного кровотечения.
При УЗИ выявлены изменения стенок желудка (см сонограммы)
1.jpg
2.jpg
Что это может быть?
Аватара пользователя
Dr.Mario
Эксперт
Сообщения: 160
Зарегистрирован: 17 мар 2009, 07:36
Контактная информация:

Re: Изменения стенок желудка

Сообщение Dr.Mario »

ФАМ писал(а):Лимфома желудка
Прошу прощения, Уважаемый коллега ФАМ; разрешите мне задать вам такой вопрос. Вы всегда в своих заключениях по УЗИ указываете тякие "однозначные" морфологические диагнозы? На мой скромный взгляд, это прерогатива патоморфологов. Радиолог может указать в своем заключении варианты гистологического диагноза, это свидетельствуеты о высоком уровне. Но не всегда такое возможно, тем более при УЗИ ЖКТ. Утолщение стенки желудка, пусть и такого диффузного характера, не всегда означает что это лимфома (or MALT), есть ещё другие варианты (GIST например, у меня было пару наблюдений). На мой взгляд, в таких случаях радиолог обязан указать диф. ряд возможных патологических состояний и направить пациента (а также лечащего врача), на более специфическое таргетное исследование, которое позволит выставить окончательный диагноз.
Let me see...
www.radiographia.ru
Аватара пользователя
KsV
Администратор
Сообщения: 2189
Зарегистрирован: 22 фев 2009, 13:38
Откуда: Беларусь-Lietuva
Контактная информация:

Re: Изменения стенок желудка

Сообщение KsV »

Так, уважаемые коллеги. Утолщения стенок желудка там нет. Содержимое в пилорическом отделе акустически непрозрачно, -"кисель". Постараюсь найти другие сканы или даже видео. Обратите внимание на структуру задней стенки.
Аватара пользователя
Dr.Mario
Эксперт
Сообщения: 160
Зарегистрирован: 17 мар 2009, 07:36
Контактная информация:

Re: Изменения стенок желудка

Сообщение Dr.Mario »

KapustinSV писал(а):Так, уважаемые коллеги. Утолщения стенок желудка там нет. Содержимое в пилорическом отделе акустически непрозрачно, -"кисель". Постараюсь найти другие сканы или даже видео. Обратите внимание на структуру задней стенки.
Что и требовалось доказать. :!:

Уважаемый Админ, я пока не утверждал что здесь есть утолщение стенки желудка, мой пост касался интерпретации нашего коллеги ФАП, некоторых патологических изменений при УЗИ желудка. ИМХО.
По данной вашей публикации, сложно высказатся однозначно, к УЗИ ЖКТ, как никогда подходит утверждение: (real time imaging), визуализация в режиме реального времени. Гиперэхогенные включения в виде ленты (ribbon-like echoes) по задней стенке могут оказатся фибрином покрывающим язвенный дефект стенки, а может и нет. Я в таких случаях стараюсь подробно описать УЗ-картину и сразу направляю на эндоскопию.
Последний раз редактировалось Dr.Mario 19 мар 2009, 14:08, всего редактировалось 1 раз.
Let me see...
www.radiographia.ru
Аватара пользователя
KsV
Администратор
Сообщения: 2189
Зарегистрирован: 22 фев 2009, 13:38
Откуда: Беларусь-Lietuva
Контактная информация:

Re: Изменения стенок желудка

Сообщение KsV »

Видео здесь
08-12-23-110117_890_20090319_121003_0012.AVI
(9.79 МБ) 233 скачивания
Аватара пользователя
acustic
Сообщения: 10
Зарегистрирован: 30 мар 2009, 09:12
Контактная информация:

Re: Изменения стенок желудка

Сообщение acustic »

В данном случае определяется феномен эхоусиления от подслизистой оболочки задней стенки выходного отдела желудка. Возможно, что это вариант нормы, так как задняя стенка находится в зоне усиления. Желательно провести р-скопию и ФГДС, так как эрозивные поражения, которые могут сопуствовать процессу, при УЗИ увидеть практически невозможно.
Аватара пользователя
KsV
Администратор
Сообщения: 2189
Зарегистрирован: 22 фев 2009, 13:38
Откуда: Беларусь-Lietuva
Контактная информация:

Re: Изменения стенок желудка

Сообщение KsV »

Не вариант нормы...
besliu
Сообщения: 142
Зарегистрирован: 11 окт 2009, 08:31
Контактная информация:

Re: Изменения стенок желудка

Сообщение besliu »

возможно иннородное тело(если идет речь о сплошной гиперэхогенной структуре по задней стенк.После более пристального просмотра:срединное эхо "занято"средней эхогенности содержимым,которое отграничено позади гиперэхогенной линией-может это сплошной сгусток крови заполняет срединное эхо желудка?(возможно внутри сплошные кровоточащие эррозии)
Последний раз редактировалось besliu 18 дек 2009, 15:23, всего редактировалось 1 раз.
Ответить

Вернуться в «Абдоминальные исследования»

Кто сейчас на конференции

Сейчас этот форум просматривают: нет зарегистрированных пользователей и 0 гостей